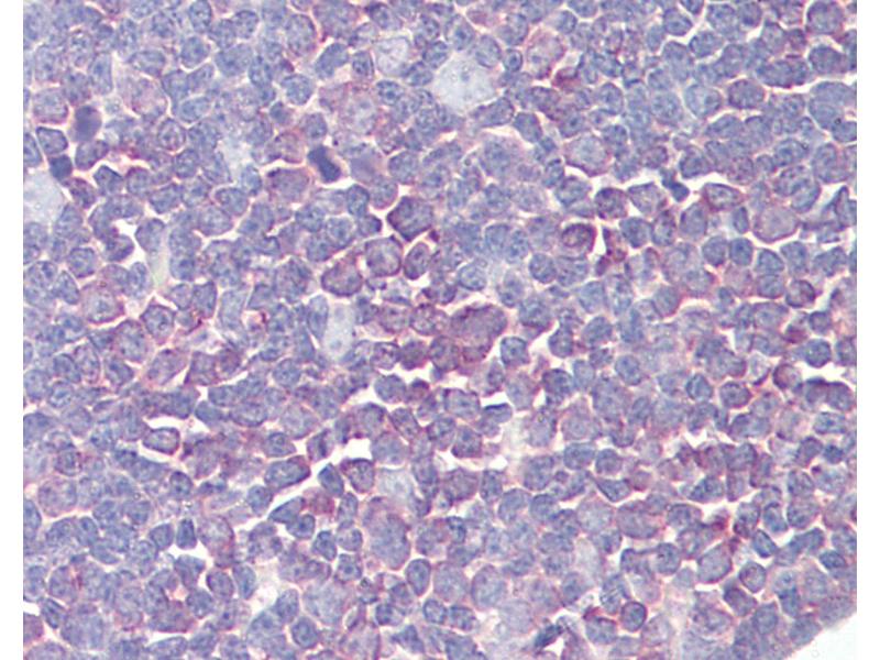
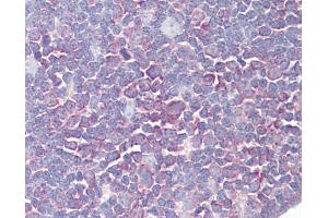
PTK2B 抗体 (AA 812-861)
Our Local Distributor
北京 101111
Quick Overview for PTK2B 抗体 (AA 812-861) (ABIN1500493)
抗原
See all PTK2B 抗体适用
宿主
克隆类型
标记
应用范围
-
-
抗原表位
- AA 812-861
-
特异性
- Human PTK2B / PYK2
-
纯化方法
- Protein A purified
-
免疫原
-
Synthetic peptide located between aa812-861 of human PTK2B (Q14289, NP_004094). Percent identity by BLAST analysis: Human, Chimpanzee, Gorilla, Orangutan, Gibbon, Monkey, Marmoset, Mouse, Rat, Panda, Dog, Bovine, Bat, Rabbit, Horse, Pig, Guinea pig (100%), Galago, Elephant, Opossum (92%).
Type of Immunogen: Synthetic peptide -
亚型
- IgG
-
-
-
-
应用备注
- Approved: IHC, IHC-P (2.5 - 5 μg/mL), WB (1.25 μg/mL)
-
说明
-
Target Species of Antibody: Human
-
限制
- 仅限研究用
-
-
-
状态
- Lyophilized
-
溶解方式
- After adding water, will consist of PBS buffer with 2 % sucrose
-
浓度
- Lot specific
-
缓冲液
- Lyophilized from PBS with 2 % sucrose
-
注意事项
- Avoid repeat freeze-thaw cycles.
-
储存条件
- 4 °C,-20 °C
-
储存方法
-
Long term: -20°C, the use of 50% glycerol is recommended if storing aliquots in -20°C for long term use (up to 1 year)
Short term (less than 1 week): 4°C. Avoid freeze-thaw cycles.
-
-
- PTK2B (PTK2B Protein tyrosine Kinase 2 beta (PTK2B))
-
别名
- PTK2B / PYK2
-
背景
-
Name/Gene ID: PTK2B
Subfamily: Focal Adhesion Kinase
Family: Protein Kinase
Synonyms: PTK2B, CADTK, CAKB, Cell adhesion kinase beta, FADK 2, FADK2, Focal adhesion kinase 2, FRNK, FAK2, Proline-rich tyrosine kinase 2, Protein-tyrosine kinase 2-beta, Protein kinase B, Protein tyrosine kinase 2 beta, PYK2, RAFTK, CAK-beta, PKB, PTK -
基因ID
- 2185
-
NCBI登录号
- NP_004094
-
UniProt
- Q14289
-
途径
- EGFR Signaling Pathway, Regulation of Actin Filament Polymerization, Carbohydrate Homeostasis, Glycosaminoglycan Metabolic Process, Cellular Glucan Metabolic Process, Cell-Cell Junction Organization, Regulation of Cell Size, Regulation of Carbohydrate Metabolic Process, Hepatitis C, Protein targeting to Nucleus, CXCR4-mediated Signaling Events, Signaling Events mediated by VEGFR1 and VEGFR2, Signaling of Hepatocyte Growth Factor Receptor, Positive Regulation of fat Cell Differentiation, VEGF Signaling
抗原
-