电话:
+86 (0512) 65829739
传真:
+86 (010) 6788 5057
电子邮件:
orders@antibodies-online.cn

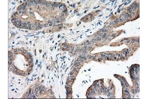
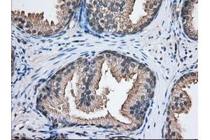
NXNL2 抗体

This 小鼠 单克隆 antibody specifically detects NXNL2 in WB, IHC, IF, IHC (p) 和 FACS. It exhibits reactivity toward 人 和 猴.
产品编号 ABIN1499887
发货至: 中国
Contact our Customer Service for availability and price in your country. Contact Info

Our Local Distributor

中国
北京 101111
No. 88 KeChuang 6th Street
Beijing Economic Technological Development Area
Room 801-803
4A Biotech Co.,Ltd.
Tel +86 (0512) 65829739 传真 +86 (010) 6788 5057

Quick Overview for NXNL2 抗体 (ABIN1499887)

抗原

NXNL2 (Nucleoredoxin-Like 2 (NXNL2))

适用

  • 21
  • 11
  • 1
  • 1
  • 1
  • 1
  • 1
  • 1
人, 猴

宿主

  • 18
  • 3
小鼠

克隆类型

  • 18
  • 3
单克隆

标记

  • 12
  • 3
  • 2
  • 2
  • 1
  • 1
This NXNL2 antibody is un-conjugated

应用范围

  • 14
  • 12
  • 10
  • 2
  • 2
  • 1
  • 1
Western Blotting (WB), Immunohistochemistry (IHC), Immunofluorescence (IF), Immunohistochemistry (Paraffin-embedded Sections) (IHC (p)), Flow Cytometry (FACS)

克隆位点

3A12
  • 特异性

    Human NXNL2

    纯化方法

    Protein A/G purified

    免疫原

    Full length human recombinant protein of human NXNL2 (NP_660326) produced in HEK293T cell.

    Type of Immunogen: Recombinant protein

    亚型

    IgG1
  • 应用备注

    Approved: Flo (1:100), IF (1:100), IHC, IHC-P (1:50), WB (1:1000 - 1:2000)

    Usage: Concentration: 0.5-1.0 mg/mL (Lot dependent)

    说明

    Target Species of Antibody: Human

    限制

    仅限研究用
  • 状态

    Liquid

    浓度

    Lot specific

    缓冲液

    PBS,  pH 7.3, 1 % BSA, 50 % glycerol, 0.02 % sodium azide

    储存液

    Sodium azide

    注意事项

    This product contains Sodium azide: a POISONOUS AND HAZARDOUS SUBSTANCE which should be handled by trained staff only.

    注意事项

    Minimize freezing and thawing.

    储存条件

    -20 °C

    储存方法

    Store at -20°C. Avoid freeze-thaw cycles.
  • 抗原

    NXNL2 (Nucleoredoxin-Like 2 (NXNL2))

    别名

    NXNL2

    背景

    Name/Gene ID: NXNL2

    Synonyms: NXNL2, C9orf121, Nucleoredoxin-like protein 2, RDCVF2, Nucleoredoxin-like 2

    基因ID

    158046

    NCBI登录号

    NP_660326

    UniProt

    Q5VZ03
You are here: