电话:
+86 (0512) 65829739
传真:
+86 (010) 6788 5057
电子邮件:
orders@antibodies-online.cn

NT5DC1 抗体

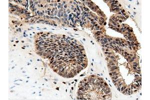
The 小鼠 单克隆 anti-NT5DC1 antibody is suitable to detect NT5DC1 in samples from 人 和 犬. It has been validated for WB, FACS, IHC 和 IHC (p).
产品编号 ABIN1499837
发货至: 中国
Contact our Customer Service for availability and price in your country. Contact Info

Our Local Distributor

中国
北京 101111
No. 88 KeChuang 6th Street
Beijing Economic Technological Development Area
Room 801-803
4A Biotech Co.,Ltd.
Tel +86 (0512) 65829739 传真 +86 (010) 6788 5057

Quick Overview for NT5DC1 抗体 (ABIN1499837)

抗原

See all NT5DC1 抗体
NT5DC1 (5'-Nucleotidase Domain Containing 1 (NT5DC1))

适用

  • 12
  • 4
  • 4
  • 3
  • 3
  • 2
  • 2
  • 2
  • 2
  • 2
  • 1
人, 犬

宿主

  • 7
  • 5
小鼠

克隆类型

  • 7
  • 5
单克隆

标记

  • 12
This NT5DC1 antibody is un-conjugated

应用范围

  • 12
  • 7
  • 6
  • 2
  • 2
  • 1
Western Blotting (WB), Flow Cytometry (FACS), Immunohistochemistry (IHC), Immunohistochemistry (Paraffin-embedded Sections) (IHC (p))

克隆位点

2H8
You are here: