电话:
+86 (0512) 65829739
传真:
+86 (010) 6788 5057
电子邮件:
orders@antibodies-online.cn

MLF1 抗体

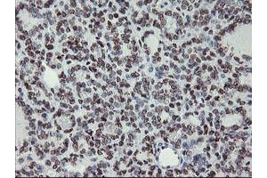
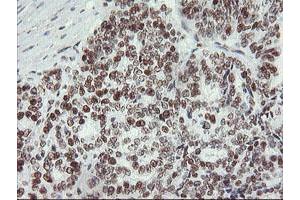
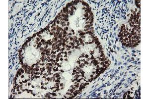
The 小鼠 单克隆 anti-MLF1 antibody (Clone 3A3) (ABIN1499493) specifically detects MLF1 in WB, IHC, FACS, IF 和 IHC (p). The antibody is reactive with 人 samples.
产品编号 ABIN1499493
发货至: 中国
Contact our Customer Service for availability and price in your country. Contact Info

Our Local Distributor

中国
北京 101111
No. 88 KeChuang 6th Street
Beijing Economic Technological Development Area
Room 801-803
4A Biotech Co.,Ltd.
Tel +86 (0512) 65829739 传真 +86 (010) 6788 5057

Quick Overview for MLF1 抗体 (ABIN1499493)

抗原

See all MLF1 抗体
MLF1 (Myeloid Leukemia Factor 1 (MLF1))

适用

  • 64
  • 45
  • 20
  • 1
  • 1

宿主

  • 62
  • 4
小鼠

克隆类型

  • 64
  • 2
单克隆

标记

  • 35
  • 3
  • 3
  • 3
  • 2
  • 2
  • 1
  • 1
  • 1
  • 1
  • 1
  • 1
  • 1
  • 1
  • 1
  • 1
  • 1
  • 1
  • 1
  • 1
  • 1
  • 1
  • 1
  • 1
This MLF1 antibody is un-conjugated

应用范围

  • 53
  • 21
  • 20
  • 15
  • 13
  • 7
  • 6
  • 4
  • 3
  • 3
  • 2
Western Blotting (WB), Immunohistochemistry (IHC), Flow Cytometry (FACS), Immunofluorescence (IF), Immunohistochemistry (Paraffin-embedded Sections) (IHC (p))

克隆位点

3A3
You are here: