电话:
+86 (0512) 65829739
传真:
+86 (010) 6788 5057
电子邮件:
orders@antibodies-online.cn

FMR1 抗体

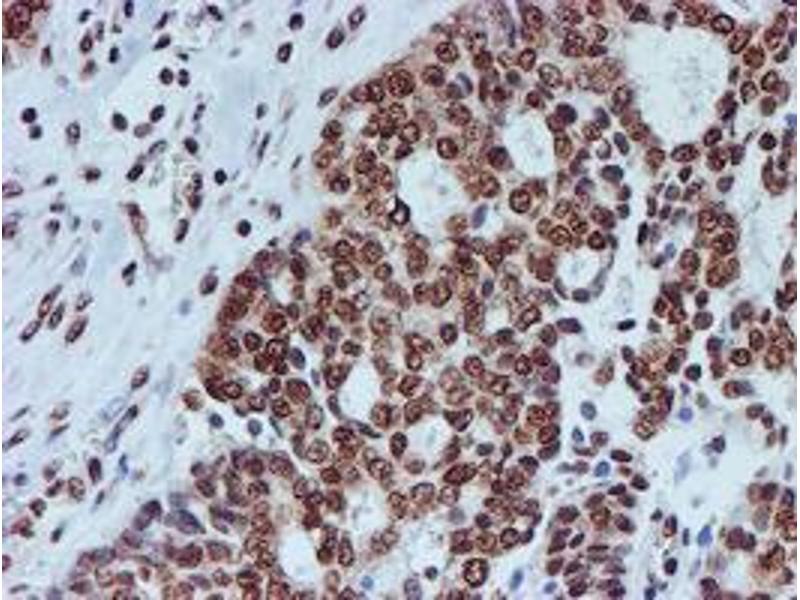
The 小鼠 单克隆 anti-FMR1 antibody (Clone 3B4) (ABIN1498287) specifically detects FMR1 in WB, IHC, IF, IHC (p) 和 FACS. The antibody is reactive with 人 samples.
产品编号 ABIN1498287
发货至: 中国
Contact our Customer Service for availability and price in your country. Contact Info

Our Local Distributor

中国
北京 101111
No. 88 KeChuang 6th Street
Beijing Economic Technological Development Area
Room 801-803
4A Biotech Co.,Ltd.
Tel +86 (0512) 65829739 传真 +86 (010) 6788 5057

Quick Overview for FMR1 抗体 (ABIN1498287)

抗原

See all FMR1 抗体
FMR1 (Fragile X Mental Retardation 1 (FMR1))

适用

  • 94
  • 73
  • 61
  • 15
  • 6
  • 5
  • 4
  • 4
  • 3
  • 2
  • 2
  • 2
  • 1
  • 1
  • 1
  • 1

宿主

  • 78
  • 19
  • 2
小鼠

克隆类型

  • 53
  • 46
单克隆

标记

  • 45
  • 6
  • 4
  • 4
  • 4
  • 4
  • 4
  • 4
  • 3
  • 2
  • 2
  • 2
  • 2
  • 2
  • 1
  • 1
  • 1
  • 1
  • 1
  • 1
  • 1
  • 1
  • 1
  • 1
  • 1
This FMR1 antibody is un-conjugated

应用范围

  • 84
  • 36
  • 31
  • 25
  • 16
  • 15
  • 14
  • 12
  • 8
  • 7
  • 4
  • 1
  • 1
  • 1
Western Blotting (WB), Immunohistochemistry (IHC), Immunofluorescence (IF), Immunohistochemistry (Paraffin-embedded Sections) (IHC (p)), Flow Cytometry (FACS)

克隆位点

3B4
You are here: