电话:
+86 (0512) 65829739
传真:
+86 (010) 6788 5057
电子邮件:
orders@antibodies-online.cn

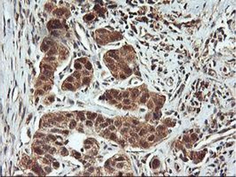
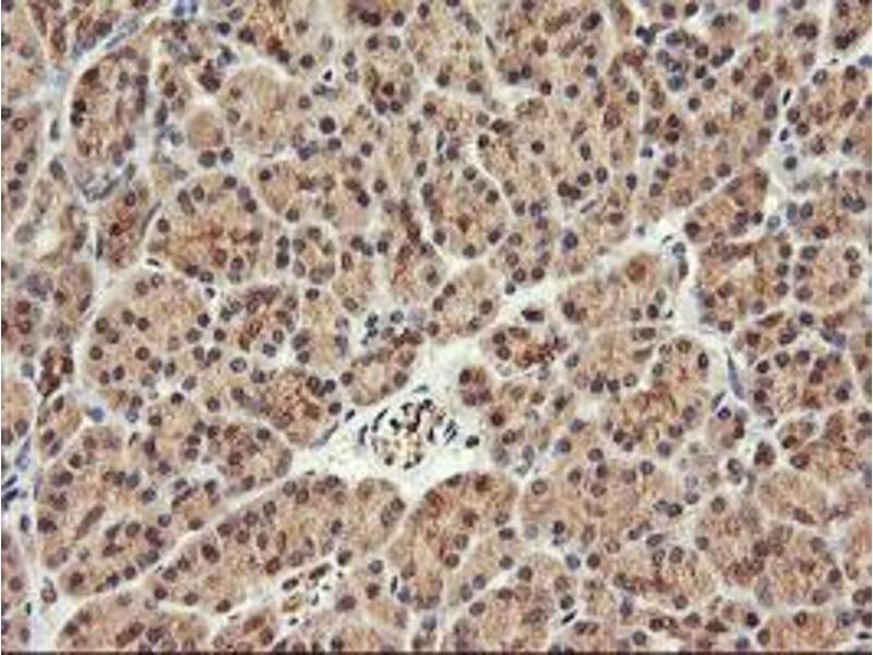
FBXO21 抗体

This 小鼠 单克隆 antibody specifically detects FBXO21 in WB, IHC, FACS, IF 和 IHC (p). It exhibits reactivity toward 人, 小鼠, 大鼠, 犬 和 猴.
产品编号 ABIN1498234
发货至: 中国
Contact our Customer Service for availability and price in your country. Contact Info

Our Local Distributor

中国
北京 101111
No. 88 KeChuang 6th Street
Beijing Economic Technological Development Area
Room 801-803
4A Biotech Co.,Ltd.
Tel +86 (0512) 65829739 传真 +86 (010) 6788 5057

Quick Overview for FBXO21 抗体 (ABIN1498234)

抗原

See all FBXO21 抗体
FBXO21 (F-Box Protein 21 (FBXO21))

适用

  • 41
  • 34
  • 24
  • 5
  • 4
  • 4
  • 3
  • 2
  • 2
  • 2
  • 2
  • 1
  • 1
人, 小鼠, 大鼠, 犬, 猴

宿主

  • 35
  • 9
小鼠

克隆类型

  • 37
  • 7
单克隆

标记

  • 25
  • 2
  • 2
  • 2
  • 1
  • 1
  • 1
  • 1
  • 1
  • 1
  • 1
  • 1
  • 1
  • 1
  • 1
  • 1
  • 1
This FBXO21 antibody is un-conjugated

应用范围

  • 44
  • 18
  • 13
  • 9
  • 9
  • 7
  • 5
  • 1
  • 1
Western Blotting (WB), Immunohistochemistry (IHC), Flow Cytometry (FACS), Immunofluorescence (IF), Immunohistochemistry (Paraffin-embedded Sections) (IHC (p))

克隆位点

2C7
  • 特异性

    Human FBXO21

    纯化方法

    Protein A/G purified

    免疫原

    Full length human recombinant protein of human FBXO21(NP_296373) produced in HEK293T cell.

    Type of Immunogen: Recombinant protein

    亚型

    IgG2a
  • 应用备注

    Approved: Flo (1:100), IF (1:100), IHC, IHC-P (1:150), WB (1:500 - 1:2000)

    说明

    Target Species of Antibody: Human

    限制

    仅限研究用
  • 状态

    Liquid

    浓度

    Lot specific

    缓冲液

    PBS,  pH 7.3, 1 % BSA, 50 % glycerol, 0.02 % sodium azide

    储存液

    Sodium azide

    注意事项

    This product contains Sodium azide: a POISONOUS AND HAZARDOUS SUBSTANCE which should be handled by trained staff only.

    储存条件

    -20 °C

    储存方法

    Store at -20°C. Avoid freeze-thaw cycles.
  • 抗原

    FBXO21 (F-Box Protein 21 (FBXO21))

    别名

    FBXO21

    背景

    Name/Gene ID: FBXO21
    Family: F-Box

    Synonyms: FBXO21, FBX21, F-box only protein 21, F-box protein 21, KIAA0875

    基因ID

    23014

    NCBI登录号

    NP_296373
You are here: