DCPS 抗体
Our Local Distributor
北京 101111
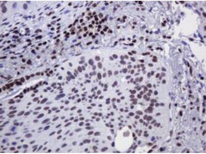
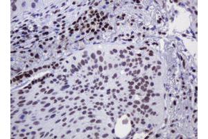
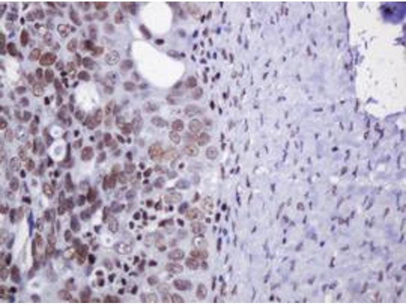
Quick Overview for DCPS 抗体 (ABIN1497781)
抗原
See all DCPS 抗体适用
宿主
克隆类型
标记
应用范围
克隆位点
-
-
特异性
- Human DCPS
-
纯化方法
- Protein A/G purified
-
免疫原
-
Full length human recombinant protein of human DCPS (NP_054745) produced in HEK293T cell.
Type of Immunogen: Recombinant protein -
亚型
- IgG1
-
-
-
-
应用备注
- Approved: IHC, IHC-P (1:150), WB (1:2000)
-
说明
-
Target Species of Antibody: Human
-
限制
- 仅限研究用
-
-
-
状态
- Liquid
-
浓度
- Lot specific
-
缓冲液
- PBS, pH 7.3, 1 % BSA, 50 % glycerol, 0.02 % sodium azide
-
储存液
- Sodium azide
-
注意事项
- This product contains Sodium azide: a POISONOUS AND HAZARDOUS SUBSTANCE which should be handled by trained staff only.
-
储存条件
- -20 °C
-
储存方法
- Store at -20°C. Avoid freeze-thaw cycles.
-
-
- DCPS (Decapping Enzyme, Scavenger (DCPS))
-
别名
- DCPS
-
背景
-
Name/Gene ID: DCPS
Synonyms: DCPS, Decapping enzyme, scavenger, DCS-1, DCS1, HINT-5, Heat shock-like protein 1, HSL1, MRNA decapping enzyme, HINT5, HSPC015, M7GpppX diphosphatase -
基因ID
- 28960
-
NCBI登录号
- NP_054745
抗原
-