电话:
+86 (0512) 65829739
传真:
+86 (010) 6788 5057
电子邮件:
orders@antibodies-online.cn

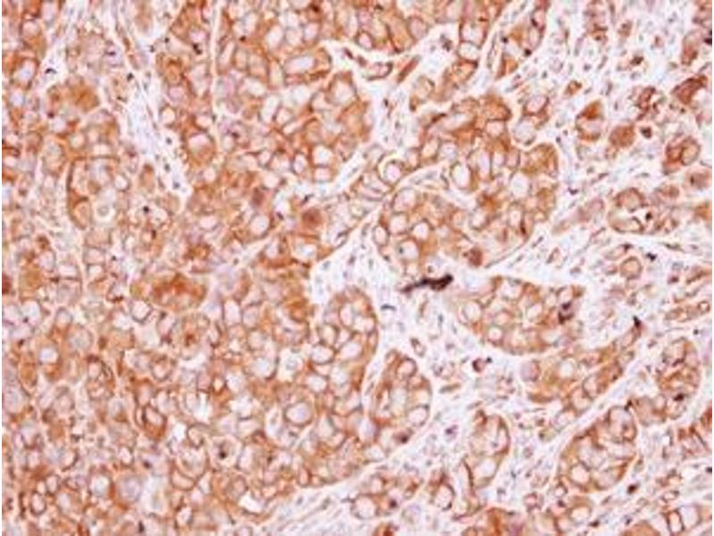
CHRNB1 抗体 (AA 274-501)

The 兔 多克隆 anti-CHRNB1 antibody is suitable to detect CHRNB1 in samples from 人. It has been validated for WB, IHC 和 IHC (p).
产品编号 ABIN1497506
发货至: 中国
Contact our Customer Service for availability and price in your country. Contact Info

Our Local Distributor

中国
北京 101111
No. 88 KeChuang 6th Street
Beijing Economic Technological Development Area
Room 801-803
4A Biotech Co.,Ltd.
Tel +86 (0512) 65829739 传真 +86 (010) 6788 5057

Quick Overview for CHRNB1 抗体 (AA 274-501) (ABIN1497506)

抗原

See all CHRNB1 抗体
CHRNB1 (Nicotinic Acetylcholine Receptor beta (CHRNB1))

适用

  • 25
  • 15
  • 14
  • 1
  • 1
  • 1
  • 1
  • 1

宿主

  • 24
  • 1
  • 1
  • 1

克隆类型

  • 24
  • 3
多克隆

标记

  • 16
  • 2
  • 2
  • 1
  • 1
  • 1
  • 1
  • 1
  • 1
  • 1
This CHRNB1 antibody is un-conjugated

应用范围

  • 16
  • 11
  • 3
  • 2
  • 2
  • 2
  • 1
  • 1
  • 1
  • 1
  • 1
Western Blotting (WB), Immunohistochemistry (IHC), Immunohistochemistry (Paraffin-embedded Sections) (IHC (p))
  • 抗原表位

    • 5
    • 4
    • 2
    • 1
    • 1
    • 1
    • 1
    • 1
    • 1
    • 1
    AA 274-501

    特异性

    Human CHRNB1

    预测反应

    Percent identity by BLAST analysis: Human (100%) Mouse (88%) Rat (87%).

    纯化方法

    Immunoaffinity purified

    免疫原

    Recombinant fragment corresponding to a region within amino acids 274 and 501 of Nicotinic Acetylcholine Receptor beta (SwissProt P11230). Percent identity by BLAST analysis: Human (100%), Mouse (88%), Rat (87%).

    Type of Immunogen: Recombinant protein

    亚型

    IgG
  • 应用备注

    Approved: IHC, IHC-P (1:100 - 1:1000), WB (1:500 - 1:3000)

    Usage: Suggested starting dilutions are as follows: Western blot: 1:500-1:3000, IHC-Paraffin: 1:100-1:1000 [suggested antigen retrieval using heat mediated 10 mM Citrate buffer (  pH 6.0) or Tris-EDTA buffer (  pH 8.0)]. Not yet tested in other applications. Optimal working dilutions should be determined experimentally by the end user.

    说明

    Target Species of Antibody: Human

    限制

    仅限研究用
  • 状态

    Liquid

    浓度

    Lot specific

    缓冲液

    0.1 M Tris-glycine,  pH 7, 20 % Glycerol, 0.01 % Thimerosal

    储存液

    Thimerosal (Merthiolate)

    注意事项

    This product contains Thimerosal (Merthiolate): a POISONOUS AND HAZARDOUS SUBSTANCE which should be handled by trained staff only.

    注意事项

    Avoid freeze-thaw cycles.

    储存条件

    -20 °C

    储存方法

    Aliquot and freeze at -20°C. Avoid freeze-thaw cycles.
  • 抗原

    CHRNB1 (Nicotinic Acetylcholine Receptor beta (CHRNB1))

    别名

    CHRNB1

    背景

    Name/Gene ID: CHRNB1
    Subfamily: Nicotinic acetylcholine receptor
    Family: Ion Channel

    Synonyms: CHRNB1, AChR-beta1, ACHRB, CHRNB, CMS1D, Acrb1, SCCMS, CMS2A, NAChR beta1

    基因ID

    1140

    UniProt

    P11230

    途径

    Synaptic Membrane
You are here: