电话:
+86 (0512) 65829739
传真:
+86 (010) 6788 5057
电子邮件:
orders@antibodies-online.cn

CDC123 抗体

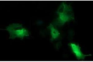
The 小鼠 单克隆 anti-CDC123 antibody is suitable to detect CDC123 in samples from 人. It has been validated for WB, IHC, IHC (p) 和 IF.
产品编号 ABIN1497389
发货至: 中国
Contact our Customer Service for availability and price in your country. Contact Info

Our Local Distributor

中国
北京 101111
No. 88 KeChuang 6th Street
Beijing Economic Technological Development Area
Room 801-803
4A Biotech Co.,Ltd.
Tel +86 (0512) 65829739 传真 +86 (010) 6788 5057

Quick Overview for CDC123 抗体 (ABIN1497389)

抗原

See all CDC123 抗体
CDC123 (Cell Division Cycle 123 Homolog (CDC123))

适用

  • 65
  • 21
  • 16
  • 1
  • 1

宿主

  • 57
  • 8
小鼠

克隆类型

  • 47
  • 18
单克隆

标记

  • 26
  • 5
  • 3
  • 3
  • 2
  • 2
  • 2
  • 2
  • 2
  • 2
  • 2
  • 1
  • 1
  • 1
  • 1
  • 1
  • 1
  • 1
  • 1
  • 1
  • 1
  • 1
  • 1
  • 1
  • 1
This CDC123 antibody is un-conjugated

应用范围

  • 37
  • 28
  • 18
  • 14
  • 13
  • 13
  • 8
  • 8
  • 4
  • 4
  • 3
Western Blotting (WB), Immunohistochemistry (IHC), Immunohistochemistry (Paraffin-embedded Sections) (IHC (p)), Immunofluorescence (IF)

克隆位点

3E8
You are here: