电话:
+86 (0512) 65829739
传真:
+86 (010) 6788 5057
电子邮件:
orders@antibodies-online.cn

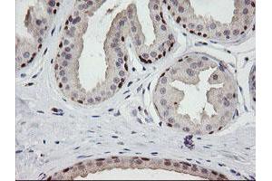
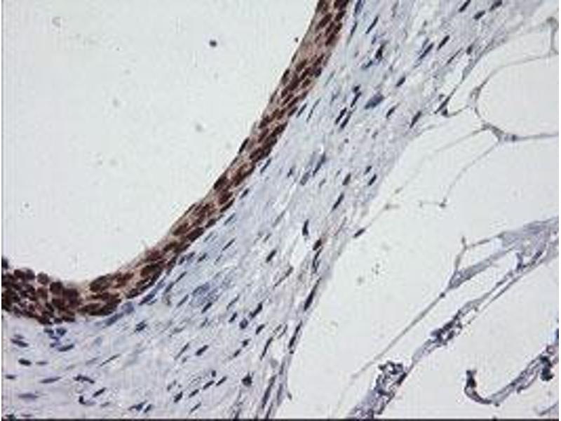
C2orf62 抗体

The 小鼠 单克隆 anti-C2orf62 antibody is suitable to detect C2orf62 in samples from 人. It has been validated for WB, IF, IHC 和 IHC (p).
产品编号 ABIN1497053
发货至: 中国
Contact our Customer Service for availability and price in your country. Contact Info

Our Local Distributor

中国
北京 101111
No. 88 KeChuang 6th Street
Beijing Economic Technological Development Area
Room 801-803
4A Biotech Co.,Ltd.
Tel +86 (0512) 65829739 传真 +86 (010) 6788 5057

Quick Overview for C2orf62 抗体 (ABIN1497053)

抗原

C2orf62 (Chromosome 2 Open Reading Frame 62 (C2orf62))

适用

  • 9
  • 2
  • 2
  • 2
  • 1
  • 1

宿主

  • 5
  • 4
小鼠

克隆类型

  • 5
  • 4
单克隆

标记

  • 9
This C2orf62 antibody is un-conjugated

应用范围

  • 8
  • 3
  • 3
  • 2
  • 2
  • 1
Western Blotting (WB), Immunofluorescence (IF), Immunohistochemistry (IHC), Immunohistochemistry (Paraffin-embedded Sections) (IHC (p))

克隆位点

2E6
You are here: