电话:
+86 (0512) 65829739
传真:
+86 (010) 6788 5057
电子邮件:
orders@antibodies-online.cn

Parvin alpha 抗体

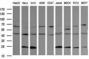
The 小鼠 单克隆 anti-Parvin alpha antibody (Clone 1C11) (ABIN1496442) specifically detects Parvin alpha in WB, IHC, IF 和 IHC (p). The antibody is reactive with 人, 小鼠, 大鼠, 猴 和 犬 samples.
产品编号 ABIN1496442
发货至: 中国
Contact our Customer Service for availability and price in your country. Contact Info

Our Local Distributor

中国
北京 101111
No. 88 KeChuang 6th Street
Beijing Economic Technological Development Area
Room 801-803
4A Biotech Co.,Ltd.
Tel +86 (0512) 65829739 传真 +86 (010) 6788 5057

Quick Overview for Parvin alpha 抗体 (ABIN1496442)

抗原

See all Parvin alpha (PARVA) 抗体
Parvin alpha (PARVA) (Parvin, alpha (PARVA))

适用

  • 39
  • 31
  • 5
  • 2
  • 1
  • 1
人, 小鼠, 大鼠, 猴, 犬

宿主

  • 51
  • 5
  • 1
小鼠

克隆类型

  • 52
  • 5
单克隆

标记

  • 29
  • 5
  • 4
  • 4
  • 2
  • 2
  • 1
  • 1
  • 1
  • 1
  • 1
  • 1
  • 1
  • 1
  • 1
  • 1
  • 1
This Parvin alpha antibody is un-conjugated

应用范围

  • 51
  • 25
  • 14
  • 13
  • 13
  • 8
  • 5
  • 3
  • 3
  • 1
  • 1
  • 1
  • 1
  • 1
Western Blotting (WB), Immunohistochemistry (IHC), Immunofluorescence (IF), Immunohistochemistry (Paraffin-embedded Sections) (IHC (p))

克隆位点

1C11
  • 特异性

    Human Actopaxin / PARVA

    纯化方法

    Protein A/G purified

    免疫原

    Full length human recombinant protein of human PARVA(NP_060692) produced in HEK293T cell.

    Type of Immunogen: Recombinant protein

    亚型

    IgG2a
  • 应用备注

    Approved: IF (1:100), IHC, IHC-P (1:150), WB (1:200 - 1:4000)

    说明

    Target Species of Antibody: Human

    限制

    仅限研究用
  • 状态

    Liquid

    浓度

    Lot specific

    缓冲液

    PBS,  pH 7.3, 1 % BSA, 50 % glycerol, 0.02 % sodium azide

    储存液

    Sodium azide

    注意事项

    This product contains Sodium azide: a POISONOUS AND HAZARDOUS SUBSTANCE which should be handled by trained staff only.

    注意事项

    Minimize freezing and thawing.

    储存条件

    -20 °C

    储存方法

    Store at -20°C. Avoid freeze-thaw cycles.
  • 抗原

    Parvin alpha (PARVA) (Parvin, alpha (PARVA))

    别名

    PARVA

    背景

    Name/Gene ID: PARVA

    Synonyms: PARVA, Actopaxin, Alpha-parvin, CH-ILKBP, Parvin, alpha, MXRA2

    基因ID

    55742

    NCBI登录号

    NP_060692

    UniProt

    Q9NVD7

    途径

    Smooth Muscle Cell Migration
You are here: