电话:
+86 (0512) 65829739
传真:
+86 (010) 6788 5057
电子邮件:
orders@antibodies-online.cn

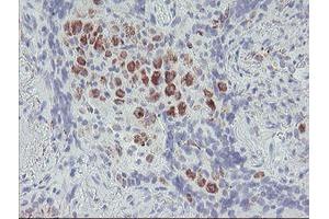
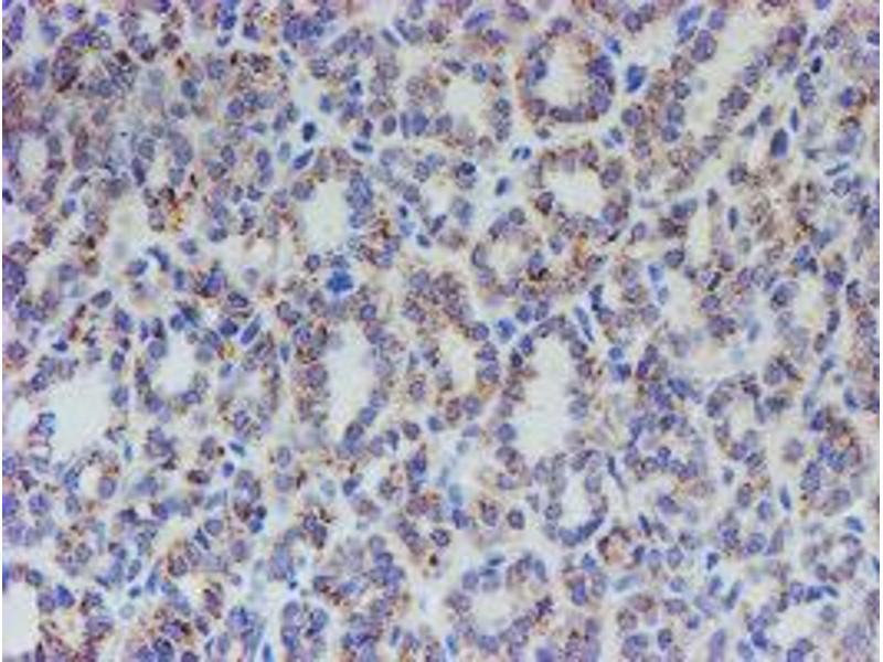
ACSF2 抗体

The 小鼠 单克隆 anti-ACSF2 antibody is suitable to detect ACSF2 in samples from 人. It has been validated for IHC, IF, FACS 和 IHC (p).
产品编号 ABIN1496423
发货至: 中国
Contact our Customer Service for availability and price in your country. Contact Info

Our Local Distributor

中国
北京 101111
No. 88 KeChuang 6th Street
Beijing Economic Technological Development Area
Room 801-803
4A Biotech Co.,Ltd.
Tel +86 (0512) 65829739 传真 +86 (010) 6788 5057

Quick Overview for ACSF2 抗体 (ABIN1496423)

抗原

See all ACSF2 抗体
ACSF2 (Acyl-CoA Synthetase Family Member 2 (ACSF2))

适用

  • 24
  • 6
  • 5
  • 2
  • 2
  • 2
  • 1
  • 1
  • 1
  • 1

宿主

  • 21
  • 3
小鼠

克隆类型

  • 23
  • 1
单克隆

标记

  • 14
  • 2
  • 1
  • 1
  • 1
  • 1
  • 1
  • 1
  • 1
  • 1
This ACSF2 antibody is un-conjugated

应用范围

  • 11
  • 8
  • 3
  • 1
  • 1
  • 1
  • 1
Immunohistochemistry (IHC), Immunofluorescence (IF), Flow Cytometry (FACS), Immunohistochemistry (Paraffin-embedded Sections) (IHC (p))

克隆位点

6E4
You are here: