电话:
+86 (0512) 65829739
传真:
+86 (010) 6788 5057
电子邮件:
orders@antibodies-online.cn

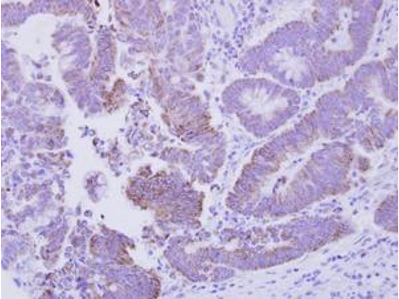
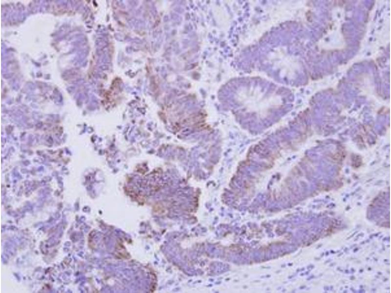
CG1458 抗体 (AA 1-133)

The 兔 多克隆 anti-CG1458 antibody (ABIN1496301) specifically detects CG1458 in IHC, IHC (p) 和 WB. The antibody is reactive with Drosophila melanogaster 和 人 samples.
产品编号 ABIN1496301
发货至: 中国
Contact our Customer Service for availability and price in your country. Contact Info

Our Local Distributor

中国
北京 101111
No. 88 KeChuang 6th Street
Beijing Economic Technological Development Area
Room 801-803
4A Biotech Co.,Ltd.
Tel +86 (0512) 65829739 传真 +86 (010) 6788 5057

Quick Overview for CG1458 抗体 (AA 1-133) (ABIN1496301)

抗原

CG1458

适用

Drosophila melanogaster, 人

宿主

克隆类型

多克隆

应用范围

Immunohistochemistry (IHC), Immunohistochemistry (Paraffin-embedded Sections) (IHC (p)), Western Blotting (WB)
  • 抗原表位

    AA 1-133

    特异性

    Drosophila, human CG1458

    预测反应

    Percent identity by BLAST analysis:

    纯化方法

    Immunoaffinity purified

    免疫原

    Recombinant fragment corresponding to a region within amino acids 1 and 133 of CG1458 (SwissProt Q9VAM6). Percent identity by BLAST analysis:

    Type of Immunogen: Recombinant protein

    亚型

    IgG
  • 应用备注

    Approved: IHC, IHC-P (1:100 - 1:1000), WB (1:500 - 1:3000)

    Usage: Suggested starting dilutions are as follows: Western blot: 1:500-1:3000, IHC-Paraffin: 1:100-1:1000 [suggested antigen retrieval using heat mediated 10 mM Citrate buffer (  pH 6.0) or Tris-EDTA buffer (  pH 8.0)]. Not yet tested in other applications. Optimal working dilutions should be determined experimentally by the end user.

    说明

    Target Species of Antibody: Drosophila

    限制

    仅限研究用
  • 状态

    Liquid

    浓度

    Lot specific

    缓冲液

    PBS,  pH 7, 1 % BSA, 20 % Glycerol, 0.01 % Thimerosal

    储存液

    Thimerosal (Merthiolate)

    注意事项

    This product contains Thimerosal (Merthiolate): a POISONOUS AND HAZARDOUS SUBSTANCE which should be handled by trained staff only.

    注意事项

    Avoid freeze-thaw cycles.

    储存条件

    -20 °C

    储存方法

    Aliquot and freeze at -20°C. Avoid freeze-thaw cycles.
  • 抗原

    CG1458

    别名

    CG1458

    背景

    Name/Gene ID: CG1458

    Synonyms: CG1458, BcDNA:RE49709, Dmel\CG1458

    基因ID

    43459

    UniProt

    Q9VAM6
You are here: