电话:
+86 (0512) 65829739
传真:
+86 (010) 6788 5057
电子邮件:
orders@antibodies-online.cn

PITX3 抗体 (N-Term)

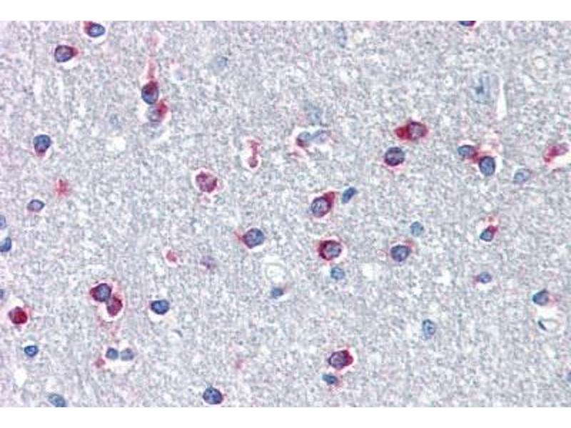
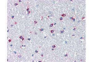
The 兔 多克隆 anti-PITX3 antibody (ABIN1495362) specifically detects PITX3 in IHC, IHC (p) 和 IF. The antibody is reactive with 人 和 小鼠 samples.
产品编号 ABIN1495362
发货至: 中国
Contact our Customer Service for availability and price in your country. Contact Info

Our Local Distributor

中国
北京 101111
No. 88 KeChuang 6th Street
Beijing Economic Technological Development Area
Room 801-803
4A Biotech Co.,Ltd.
Tel +86 (0512) 65829739 传真 +86 (010) 6788 5057

Quick Overview for PITX3 抗体 (N-Term) (ABIN1495362)

抗原

See all PITX3 抗体
PITX3 (Pituitary Homeobox 3 (PITX3))

适用

  • 36
  • 36
  • 33
  • 19
  • 5
  • 5
  • 5
  • 4
  • 4
  • 3
  • 3
  • 3
  • 1
人, 小鼠

宿主

  • 51
  • 1

克隆类型

  • 38
  • 14
多克隆

标记

  • 19
  • 3
  • 3
  • 2
  • 2
  • 2
  • 2
  • 2
  • 2
  • 2
  • 1
  • 1
  • 1
  • 1
  • 1
  • 1
  • 1
  • 1
  • 1
  • 1
  • 1
  • 1
  • 1
This PITX3 antibody is un-conjugated

应用范围

  • 39
  • 14
  • 13
  • 13
  • 13
  • 10
  • 7
  • 4
  • 3
  • 3
Immunohistochemistry (IHC), Immunohistochemistry (Paraffin-embedded Sections) (IHC (p)), Immunofluorescence (IF)
  • 抗原表位

    • 15
    • 6
    • 4
    • 2
    • 1
    • 1
    • 1
    N-Term

    特异性

    Recognizes mouse PiTX3 protein. Reactivity has been confirmed with fetal mouse brain homogenate.

    纯化方法

    Immunoaffinity purified

    免疫原

    Synthetic peptide derived from the N-terminal region of the mouse PiTX3 protein.

    Type of Immunogen: Synthetic peptide

    亚型

    IgG
  • 应用备注

    Approved: IF (0.7 - 2 μg/mL), IHC, IHC-P (5 μg/mL)

    Usage: Immunohistochemistry: This antibody was validated for use in immunohistochemistry on a panel of 21 formalin-fixed, paraffin-embedded (FFPE) human tissues after heat induced antigen retrieval in  pH 6.0 citrate buffer. After incubation with the primary antibody, slides were incubated with biotinylated secondary antibody, followed by alkaline phosphatase-streptavidin and chromogen. The stained slides were evaluated by a pathologist to confirm staining specificity. The optimal working concentration for this antibody was determined to be 5 μg/mL.

    说明

    Target Species of Antibody: Mouse

    限制

    仅限研究用
  • 状态

    Liquid

    浓度

    Lot specific

    缓冲液

    PBS,  pH 7.4, 0.09 % sodium azide.

    储存液

    Sodium azide

    注意事项

    This product contains Sodium azide: a POISONOUS AND HAZARDOUS SUBSTANCE which should be handled by trained staff only.

    注意事项

    Avoid repeated freezing and thawing.

    储存条件

    4 °C,-20 °C

    储存方法

    May be stored at 4°C for short-term only. Aliquot to avoid freeze-thaw cycles. Store at -20°C. Aliquots are stable for 1 year.
  • 抗原

    PITX3 (Pituitary Homeobox 3 (PITX3))

    别名

    PITX3 / PTX3

    背景

    Name/Gene ID: PITX3

    Synonyms: PITX3, CTPP4, Homeobox protein PITX3, Paired-like homeodomain 3, Pituitary homeobox 3

    基因ID

    5309

    UniProt

    O75364
You are here: