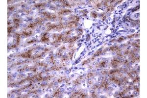
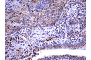
NEU1 抗体 (AA 48-315)
Our Local Distributor
北京 101111
Quick Overview for NEU1 抗体 (AA 48-315) (ABIN1491548)
抗原
See all NEU1 抗体适用
宿主
克隆类型
标记
应用范围
克隆位点
-
-
抗原表位
- AA 48-315
-
特异性
- Human NEU1 / NEU
-
纯化方法
- Protein A/G purified
-
免疫原
-
Human recombinant protein fragment corresponding to amino acids 48-315 of human NEU1 (NP_000425)produced in E. coli.
Type of Immunogen: Recombinant protein -
亚型
- IgG2a
-
-
-
-
应用备注
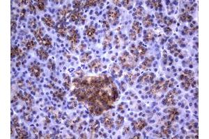
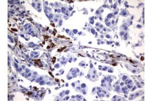
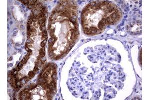
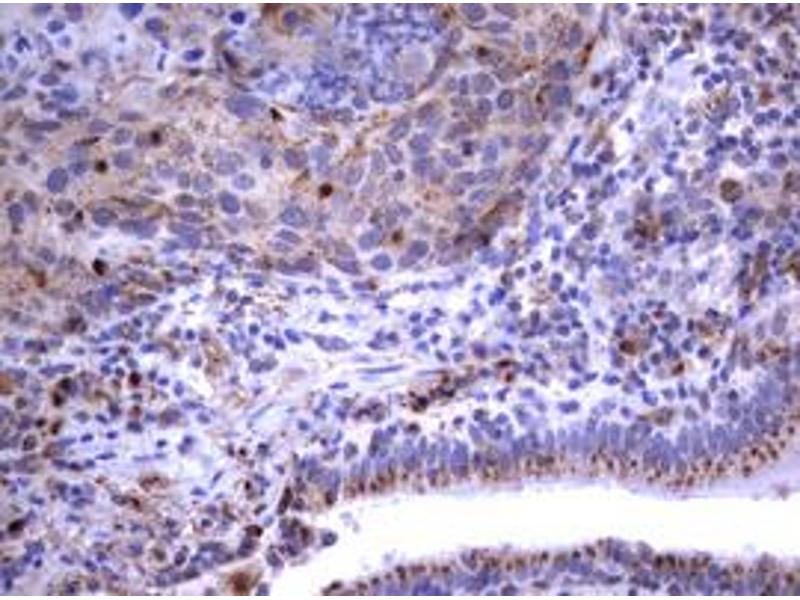
- Approved: IHC, IHC-P (1:150), WB (1:2000)
-
说明
-
Target Species of Antibody: Human
-
限制
- 仅限研究用
-
-
-
状态
- Liquid
-
浓度
- Lot specific
-
缓冲液
- PBS, pH 7.3, 1 % BSA, 50 % glycerol, 0.02 % sodium azide
-
储存液
- Sodium azide
-
注意事项
- This product contains Sodium azide: a POISONOUS AND HAZARDOUS SUBSTANCE which should be handled by trained staff only.
-
注意事项
- Minimize freezing and thawing.
-
储存条件
- -20 °C
-
储存方法
- Store at -20°C. Avoid freeze-thaw cycles.
-
-
- NEU1 (Sialidase 1 (Lysosomal Sialidase) (NEU1))
-
别名
- NEU1 / NEU
-
背景
-
Name/Gene ID: NEU1
Synonyms: NEU1, Acetylneuraminyl hydrolase, G9 gene encoding sialidase, G9 sialidase, Exo-alpha-sialidase, Neu, Sialidase-1, Lysosomal sialidase, SIAL1, N-acetyl-alpha-neuraminidase 1, NANH -
基因ID
- 4758
-
NCBI登录号
- NP_000425
-
UniProt
- Q99519
-
途径
- SARS-CoV-2 Protein Interactome
抗原
-