电话:
+86 (0512) 65829739
传真:
+86 (010) 6788 5057
电子邮件:
orders@antibodies-online.cn

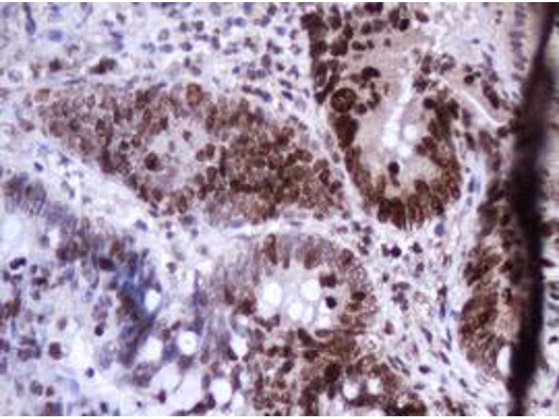
Ki-67 抗体 (AA 2924-3256)

The 小鼠 单克隆 anti-Ki-67 antibody (Clone 8H5) (ABIN1491345) specifically detects Ki-67 in IHC 和 IHC (p). The antibody is reactive with 人 samples.
产品编号 ABIN1491345
发货至: 中国
Contact our Customer Service for availability and price in your country. Contact Info

Our Local Distributor

中国
北京 101111
No. 88 KeChuang 6th Street
Beijing Economic Technological Development Area
Room 801-803
4A Biotech Co.,Ltd.
Tel +86 (0512) 65829739 传真 +86 (010) 6788 5057

Quick Overview for Ki-67 抗体 (AA 2924-3256) (ABIN1491345)

抗原

See all Ki-67 (MKI67) 抗体
Ki-67 (MKI67) (Antigen Identified By Monoclonal Antibody Ki-67 (MKI67))

适用

  • 174
  • 43
  • 28
  • 5
  • 2
  • 2
  • 1
  • 1

宿主

  • 110
  • 70
  • 5
  • 3
  • 1
小鼠

克隆类型

  • 105
  • 82
单克隆

标记

  • 108
  • 12
  • 11
  • 5
  • 3
  • 3
  • 3
  • 3
  • 3
  • 3
  • 3
  • 2
  • 2
  • 2
  • 2
  • 2
  • 2
  • 2
  • 1
  • 1
  • 1
  • 1
  • 1
  • 1
  • 1
  • 1
  • 1
  • 1
  • 1
  • 1
  • 1
  • 1
  • 1
  • 1
  • 1
  • 1
This Ki-67 antibody is un-conjugated

应用范围

  • 108
  • 104
  • 67
  • 61
  • 43
  • 41
  • 27
  • 18
  • 16
  • 16
  • 13
  • 8
  • 6
  • 5
  • 5
  • 3
  • 2
  • 2
  • 1
  • 1
  • 1
Immunohistochemistry (IHC), Immunohistochemistry (Paraffin-embedded Sections) (IHC (p))

克隆位点

8H5
You are here: