ZEB2 抗体 (AA 1-350)
Our Local Distributor
北京 101111
Quick Overview for ZEB2 抗体 (AA 1-350) (ABIN1490760)
抗原
See all ZEB2 抗体适用
宿主
克隆类型
标记
应用范围
克隆位点
-
-
抗原表位
- AA 1-350
-
特异性
- Human ZEB2
-
纯化方法
- Protein A/G purified
-
免疫原
-
Human recombinant protein fragment corresponding to amino acids 1-350 of human ZEB2 (NP_055610) produced in E. coli.
Type of Immunogen: Recombinant protein -
亚型
- IgG1
-
-
-
-
应用备注
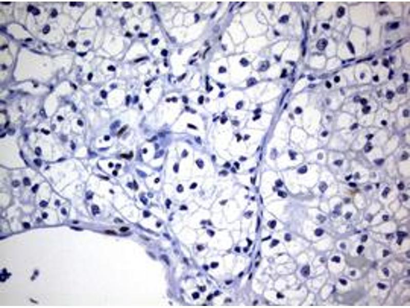
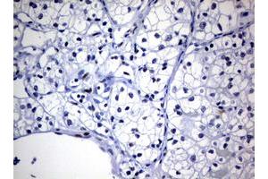
- Approved: IHC, IHC-P (1:150), WB (1:2000)
-
说明
-
Target Species of Antibody: Human
-
限制
- 仅限研究用
-
-
-
状态
- Liquid
-
浓度
- Lot specific
-
缓冲液
- PBS, pH 7.3, 1 % BSA, 50 % glycerol, 0.02 % sodium azide
-
储存液
- Sodium azide
-
注意事项
- This product contains Sodium azide: a POISONOUS AND HAZARDOUS SUBSTANCE which should be handled by trained staff only.
-
注意事项
- Minimize freezing and thawing.
-
储存条件
- -20 °C
-
储存方法
- Store at -20°C. Avoid freeze-thaw cycles.
-
-
- ZEB2 (Zinc Finger E-Box Binding Homeobox 2 (ZEB2))
-
别名
- ZEB2
-
背景
-
Name/Gene ID: ZEB2
Synonyms: ZEB2, KIAA0569, SIP1, SMADIP1, ZFX1B, SIP-1, SMAD interacting protein 1, Smad-interacting protein 1, ZFHX1B, Zinc finger homeobox 1b, HSPC082 -
基因ID
- 9839
-
NCBI登录号
- NP_055610
-
UniProt
- O60315
-
途径
- Tube Formation
抗原
-