电话:
+86 (0512) 65829739
传真:
+86 (010) 6788 5057
电子邮件:
orders@antibodies-online.cn

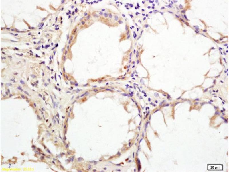
HHLA2 抗体 (AA 231-330)

The 兔 多克隆 anti-HHLA2 antibody (ABIN1388019) specifically detects HHLA2 in WB, ELISA, IHC (p), IHC (fro), IF (cc) 和 IF (p). The antibody is reactive with 人 samples.
产品编号 ABIN1388019
发货至: 中国
Contact our Customer Service for availability and price in your country. Contact Info

Our Local Distributor

中国
北京 101111
No. 88 KeChuang 6th Street
Beijing Economic Technological Development Area
Room 801-803
4A Biotech Co.,Ltd.
Tel +86 (0512) 65829739 传真 +86 (010) 6788 5057

Quick Overview for HHLA2 抗体 (AA 231-330) (ABIN1388019)

抗原

See all HHLA2 抗体
HHLA2 (HERV-H LTR-Associating 2 (HHLA2))

适用

宿主

  • 30
  • 13
  • 2

克隆类型

  • 30
  • 11
  • 2
多克隆

标记

  • 15
  • 5
  • 4
  • 4
  • 4
  • 3
  • 2
  • 1
  • 1
  • 1
  • 1
  • 1
  • 1
This HHLA2 antibody is un-conjugated

应用范围

  • 20
  • 16
  • 12
  • 11
  • 6
  • 3
  • 2
  • 1
  • 1
Western Blotting (WB), ELISA, Immunohistochemistry (Paraffin-embedded Sections) (IHC (p)), Immunohistochemistry (Frozen Sections) (IHC (fro)), Immunofluorescence (Cultured Cells) (IF (cc)), Immunofluorescence (Paraffin-embedded Sections) (IF (p))
  • 抗原表位

    • 11
    • 7
    • 4
    • 3
    • 2
    • 2
    • 1
    AA 231-330

    交叉反应

    纯化方法

    Purified by Protein A.

    免疫原

    KLH conjugated synthetic peptide derived from human HHLA2

    亚型

    IgG
  • 应用备注

    WB 1:300-5000
    ELISA 1:500-1000
    IHC-P 1:200-400
    IHC-F 1:100-500
    IF(IHC-P) 1:50-200
    IF(IHC-F) 1:50-200
    IF(ICC) 1:50-200

    限制

    仅限研究用
  • 状态

    Liquid

    浓度

    1 μg/μL

    缓冲液

    0.01M TBS( pH 7.4) with 1 % BSA, 0.02 % Proclin300 and 50 % Glycerol.

    储存液

    ProClin

    注意事项

    This product contains ProClin: a POISONOUS AND HAZARDOUS SUBSTANCE, which should be handled by trained staff only.

    储存条件

    4 °C,-20 °C

    储存方法

    Shipped at 4°C. Store at -20°C for one year. Avoid repeated freeze/thaw cycles.

    有效期

    12 months
  • 抗原

    HHLA2 (HERV-H LTR-Associating 2 (HHLA2))

    别名

    HHLA2

    背景

    Synonyms: B7H7, HERV-H LTR-associating protein 2, Human endogenous retrovirus-H long terminal repeat-associating protein 2, HHLA2

    Background: Through interaction with TMIGD2, costimulates T-cells in the context of TCR-mediated activation. Enhances T-cell proliferation and cytokine production via an AKT-dependent signaling cascade.

    基因ID

    11148

    UniProt

    Q9UM44
You are here: