电话:
+86 (0512) 65829739
传真:
+86 (010) 6788 5057
电子邮件:
orders@antibodies-online.cn

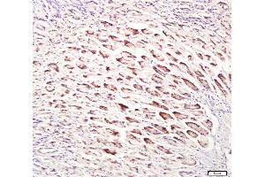
UNC5B 抗体 (AA 188-260)

The 兔 多克隆 anti-UNC5B antibody is suitable to detect UNC5B in samples from 人, 小鼠 和 大鼠. It has been validated for WB, ELISA, IF (cc), IF (p), ICC, IHC (fro) 和 IHC (p).
产品编号 ABIN1387790
发货至: 中国
Contact our Customer Service for availability and price in your country. Contact Info

Our Local Distributor

中国
北京 101111
No. 88 KeChuang 6th Street
Beijing Economic Technological Development Area
Room 801-803
4A Biotech Co.,Ltd.
Tel +86 (0512) 65829739 传真 +86 (010) 6788 5057

Quick Overview for UNC5B 抗体 (AA 188-260) (ABIN1387790)

抗原

See all UNC5B 抗体
UNC5B (Netrin receptor UNC5B (UNC5B))

适用

  • 40
  • 30
  • 23
  • 3
  • 3
  • 1
人, 小鼠, 大鼠

宿主

  • 35
  • 6
  • 2

克隆类型

  • 38
  • 5
多克隆

标记

  • 15
  • 3
  • 2
  • 2
  • 1
  • 1
  • 1
  • 1
  • 1
  • 1
  • 1
  • 1
  • 1
  • 1
  • 1
  • 1
  • 1
  • 1
  • 1
  • 1
  • 1
  • 1
  • 1
  • 1
  • 1
This UNC5B antibody is un-conjugated

应用范围

  • 28
  • 14
  • 12
  • 12
  • 3
  • 2
  • 2
  • 1
  • 1
Western Blotting (WB), ELISA, Immunofluorescence (Cultured Cells) (IF (cc)), Immunofluorescence (Paraffin-embedded Sections) (IF (p)), Immunocytochemistry (ICC), Immunohistochemistry (Frozen Sections) (IHC (fro)), Immunohistochemistry (Paraffin-embedded Sections) (IHC (p))
  • 抗原表位

    • 14
    • 5
    • 2
    • 2
    • 2
    • 1
    • 1
    • 1
    • 1
    • 1
    AA 188-260

    交叉反应

    人, 小鼠, 大鼠

    预测反应

    Dog,Pig,Horse,Rabbit

    纯化方法

    Purified by Protein A.

    免疫原

    KLH conjugated synthetic peptide derived from human UNC5B

    亚型

    IgG
  • 应用备注

    WB 1:300-5000
    ELISA 1:500-1000
    IHC-P 1:200-400
    IHC-F 1:100-500
    IF(IHC-P) 1:50-200
    IF(IHC-F) 1:50-200
    IF(ICC) 1:50-200
    ICC 1:100-500

    限制

    仅限研究用
  • 状态

    Liquid

    浓度

    1 μg/μL

    缓冲液

    0.01M TBS( pH 7.4) with 1 % BSA, 0.02 % Proclin300 and 50 % Glycerol.

    储存液

    ProClin

    注意事项

    This product contains ProClin: a POISONOUS AND HAZARDOUS SUBSTANCE, which should be handled by trained staff only.

    储存条件

    4 °C,-20 °C

    储存方法

    Shipped at 4°C. Store at -20°C for one year. Avoid repeated freeze/thaw cycles.

    有效期

    12 months
  • 抗原

    UNC5B (Netrin receptor UNC5B (UNC5B))

    别名

    UNC5B/UNC5H2

    背景

    Synonyms: Netrin receptor UNC5B, Netrin receptor UNC5B Precursor, p53 regulated receptor for death and le, p53 regulated receptor for death and le protein 1, p53-regulated receptor for death and le protein 1, p53RDL1, Protein unc-5 homolog 2, Protein unc-5 homolog B, Protein XUNC 5, Transmembrane receptor Unc5H2, Unc 5 homolog 2, Unc 5 homolog B, UNC 5B, Unc5 C.elegans homolog b, Unc5b, UNC5B_HUMAN, UNC5H2.

    Background: The UNC5H family of proteins act as transmembrane receptors for netrin-1 and play a crucial role in axon guidance and migration of neural cells. In fact, UNC5H receptors express widely in cells that migrate, where they bind the G protein G Alpha 1-2 to inhibit G protein signaling. Additionally, UNC5H receptors induce apoptosis when cleaved by a caspase, producing an intracellular fragment containing a death domain, but this activity is blocked by the binding of netrin-1. The expression of UNC5H receptors is down-regulated in multiple cancers, including colorectal, breast, ovary, uterus, stomach, lung, and kidney cancers. Hence, in the absence of netrin-1, UNC5H receptors act as tumor suppressors by inhibiting anchorage-independent growth and invasion, but mutation of these receptors provides a potential mechanism for tumorigenicity. UNC5H2, also designated unc-5 homolog B or p53-regulated receptor for death and life protein 1 (p53RDL1) is highly expressed in brain with lower levels of expression observed in developing lung, cartilage, kidney and hematopoietic and immune tissues.

You are here: