电话:
+86 (0512) 65829739
传真:
+86 (010) 6788 5057
电子邮件:
orders@antibodies-online.cn

IGSF9 抗体

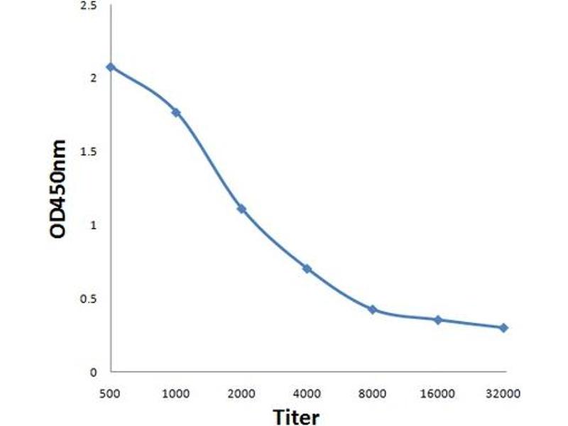
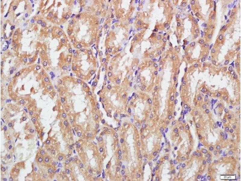
The 兔 多克隆 anti-IGSF9 antibody (ABIN1387752) specifically detects IGSF9 in ELISA, WB, IF (p) 和 IHC (p). The antibody is reactive with 人, 小鼠 和 大鼠 samples.
产品编号 ABIN1387752
发货至: 中国
Contact our Customer Service for availability and price in your country. Contact Info

Our Local Distributor

中国
北京 101111
No. 88 KeChuang 6th Street
Beijing Economic Technological Development Area
Room 801-803
4A Biotech Co.,Ltd.
Tel +86 (0512) 65829739 传真 +86 (010) 6788 5057

Quick Overview for IGSF9 抗体 (ABIN1387752)

抗原

See all IGSF9 抗体
IGSF9 (Immunoglobulin Superfamily, Member 9 (IGSF9))

适用

  • 9
  • 2
  • 2
  • 2
  • 2
  • 2
  • 1
  • 1
  • 1
  • 1
人, 小鼠, 大鼠

宿主

  • 9

克隆类型

  • 9
多克隆

标记

  • 5
  • 2
  • 1
  • 1
This IGSF9 antibody is un-conjugated

应用范围

ELISA, Western Blotting (WB), Immunofluorescence (Paraffin-embedded Sections) (IF (p)), Immunohistochemistry (Paraffin-embedded Sections) (IHC (p))
  • 交叉反应

    人, 小鼠, 大鼠

    纯化方法

    Purified by Protein A.

    免疫原

    KLH conjugated synthetic peptide derived from human IGSF9

    亚型

    IgG
  • 应用备注

    WB 1:300-5000
    ELISA 1:500-1000
    IHC-P 1:200-400
    IF(IHC-P) 1:50-200

    限制

    仅限研究用
  • 状态

    Liquid

    浓度

    1 μg/μL

    缓冲液

    0.01M TBS( pH 7.4) with 1 % BSA, 0.02 % Proclin300 and 50 % Glycerol.

    储存液

    ProClin

    注意事项

    This product contains ProClin: a POISONOUS AND HAZARDOUS SUBSTANCE, which should be handled by trained staff only.

    储存条件

    4 °C,-20 °C

    储存方法

    Shipped at 4°C. Store at -20°C for one year. Avoid repeated freeze/thaw cycles.

    有效期

    12 months
  • 抗原

    IGSF9 (Immunoglobulin Superfamily, Member 9 (IGSF9))

    别名

    IGSF9

    背景

    Synonyms: IGSF9A, Dasm1, Dendrite arborization and synapse maturation protein 1, IGSF9 immunoglobulin superfamily, member 9, Immunoglobulin superfamily member 9A, immunoglobulin superfamily, member 9, Ncaml, Nrt1, Protein turtle homolog A, TUTLA_HUMAN.

    Background: Ig (immunoglobulin) superfamily members exhibit functional characteristics including immune responses, growth factor signaling and cell adhesion. IGSF9 (immunoglobulin superfamily, member 9), also known as Nrt1 or IGSF9A, is a 1,179 amino acid single-pass type I membrane protein expressed in a wide variety of fetal tissues at eight and fourteen weeks of gestation. Belonging to the immunoglobulin superfamily and the Turtle family, IGSF9 is thought to play a role in dendrite outgrowth and synapse maturation. IGSF9 contains two fibronectin type-III domains and five Ig-like (immunoglobulin-like) domains. IGSF9 interacts with MAGI-2 and Shank 1, both of which contain SH3 (Src-homology 3) domains. Protein-protein interactions are central events in cellular signal transduction and are often mediated by SH3 domains. IGSF9 is encoded by a gene located on human chromosome 1q23.2 and mouse chromosome 1 H3.

    基因ID

    57549
You are here: