电话:
+86 (0512) 65829739
传真:
+86 (010) 6788 5057
电子邮件:
orders@antibodies-online.cn

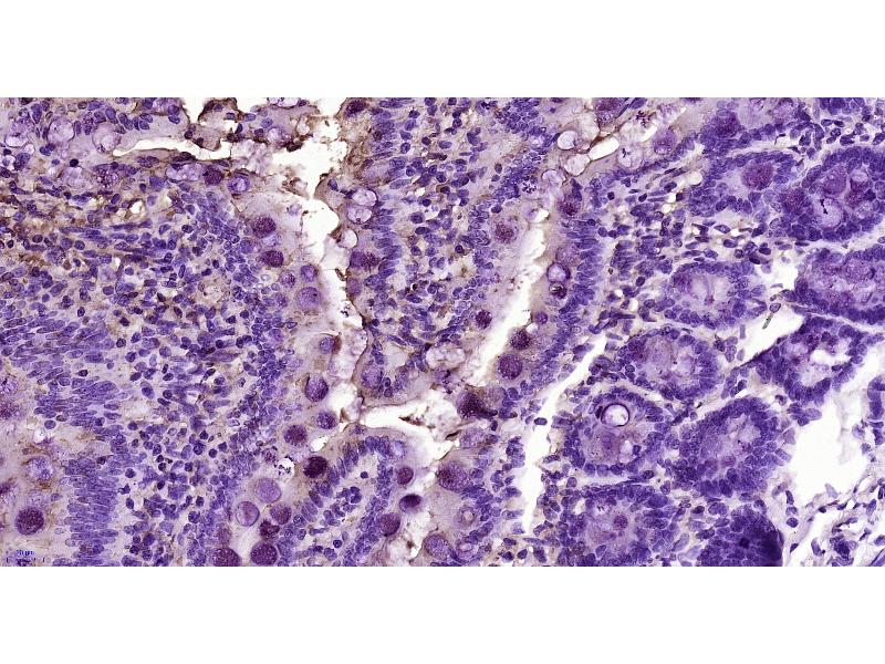
Progestin Receptor beta/mprb (AA 251-300) 抗体

There is 1 publication for this product available. The 兔 多克隆 anti-Progestin Receptor beta/mprb antibody is suitable to detect Progestin Receptor beta/mprb in samples from 犬, 小鼠, 大鼠 和 绵羊. It has been validated for ELISA, ICC, IF (cc), IF (p), IHC (fro), IHC (p) 和 WB.
产品编号 ABIN1387676
发货至: 中国
Contact our Customer Service for availability and price in your country. Contact Info

Our Local Distributor

中国
北京 101111
No. 88 KeChuang 6th Street
Beijing Economic Technological Development Area
Room 801-803
4A Biotech Co.,Ltd.
Tel +86 (0512) 65829739 传真 +86 (010) 6788 5057

Quick Overview for Progestin Receptor beta/mprb (AA 251-300) 抗体 (ABIN1387676)

抗原

Progestin Receptor beta/mprb

适用

犬, 小鼠, 大鼠, 绵羊

宿主

克隆类型

多克隆

应用范围

ELISA, Immunocytochemistry (ICC), Immunofluorescence (Cultured Cells) (IF (cc)), Immunofluorescence (Paraffin-embedded Sections) (IF (p)), Immunohistochemistry (Frozen Sections) (IHC (fro)), Immunohistochemistry (Paraffin-embedded Sections) (IHC (p)), Western Blotting (WB)
  • 抗原表位

    AA 251-300

    交叉反应

    犬, 小鼠, 大鼠, 绵羊

    预测反应

    Human,Cow,Pig,Horse,Chicken,Rabbit

    纯化方法

    Purified by Protein A.

    免疫原

    KLH conjugated synthetic peptide derived from human Progestin Receptor Beta

    亚型

    IgG
  • 应用备注

    WB 1:300-5000
    ELISA 1:500-1000
    IHC-P 1:200-400
    IHC-F 1:100-500
    IF(IHC-P) 1:50-200
    IF(IHC-F) 1:50-200
    IF(ICC) 1:50-200
    ICC 1:100-500

    限制

    仅限研究用
  • 状态

    Liquid

    浓度

    1 μg/μL

    缓冲液

    0.01M TBS( pH 7.4) with 1 % BSA, 0.02 % Proclin300 and 50 % Glycerol.

    储存液

    ProClin

    注意事项

    This product contains ProClin: a POISONOUS AND HAZARDOUS SUBSTANCE, which should be handled by trained staff only.

    储存条件

    4 °C,-20 °C

    储存方法

    Shipped at 4°C. Store at -20°C for one year. Avoid repeated freeze/thaw cycles.

    有效期

    12 months
  • Kasubuchi, Watanabe, Hirano, Inoue, Li, Terasawa, Konishi, Itoh, Kimura: "Membrane progesterone receptor beta (mPRβ/Paqr8) promotes progesterone-dependent neurite outgrowth in PC12 neuronal cells via non-G protein-coupled receptor (GPCR) signaling." in: Scientific reports, Vol. 7, Issue 1, pp. 5168, (2017) (PubMed).

  • 抗原

    Progestin Receptor beta/mprb

    背景

    Synonyms: C6orf33, LMPB1, Lysosomal membrane protein in brain 1, Membrane progestin receptor beta, mPR beta, MPRB, PAQR8, Progestin and adipoQ receptor family member 8, Progestin and adipoQ receptor family member VIII, MPRB_HUMAN.

    Background: The steroid progesterone induces the resumption of maturation in oocytes via a nongenomic pathway through binding to a novel membrane progestin receptor (mPR). This pathway inhibits adenylyl cyclase and reduces intracellular cAMP, and also activates mitogen-activated protein kinase to effect signal transduction pathways. Five distinct groups, designated Alpha, Beta, Gamma, Delta, comprise the mPR gene family. mPR Alpha, also designated progestin and adipo Theta receptor family member VII (PAQR7), consists of an extracellular N-terminus, an intracellular C-terminus and seven transmembrane domains. mPR Alpha is expressed in ovary, testis, placenta, uterus and bladder. mPR Beta, or progestin and adipo Theta receptor family member VIII (PAQR8), consists of eight putative transmembrane regions and an intracellular N-terminus that contains a leucine-rich motif. mPR Beta is a 354 amino acid protein expressed in brain and spinal cord. Both mPR Alpha and mPR Beta may be G protein-coupled receptors and may be involved in oocyte maturation.

    基因ID

    85315
You are here: