FAM189B 抗体
Our Local Distributor
北京 101111
Quick Overview for FAM189B 抗体 (ABIN1387628)
抗原
See all FAM189B 抗体适用
宿主
克隆类型
标记
应用范围
-
-
交叉反应
- 人, 小鼠, 大鼠
-
纯化方法
- Purified by Protein A.
-
免疫原
- KLH conjugated synthetic peptide derived from human C1orf2
-
亚型
- IgG
-
-
-
-
应用备注
-
WB 1:300-5000
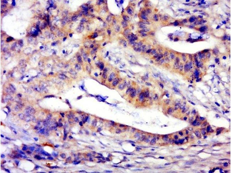
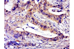
IHC-P 1:200-400
IF(IHC-P) 1:50-200 -
限制
- 仅限研究用
-
-
-
状态
- Liquid
-
浓度
- 1 μg/μL
-
缓冲液
- 0.01M TBS( pH 7.4) with 1 % BSA, 0.02 % Proclin300 and 50 % Glycerol.
-
储存液
- ProClin
-
注意事项
- This product contains ProClin: a POISONOUS AND HAZARDOUS SUBSTANCE, which should be handled by trained staff only.
-
储存条件
- 4 °C,-20 °C
-
储存方法
- Shipped at 4°C. Store at -20°C for one year. Avoid repeated freeze/thaw cycles.
-
有效期
- 12 months
-
-
- FAM189B (Family with Sequence Similarity 189, Member B (FAM189B))
-
别名
- C1orf2
-
背景
-
Synonyms: Chromosome 1 open reading frame 2, COTE1, F189B_HUMAN, FAM189B, Family with sequence similarity 189 member B, Hypothetical protein LOC10712, Protein COTE1, Protein FAM189B.
Background: COTE1, also known as FAM189B (family with sequence similarity 189, member B), is a 668 amino acid multi-pass membrane protein that is widely expressed and belongs to the FAM189 family. Existing as two alternatively spliced isoforms, COTE1 is encoded by a gene that maps to human chromosome 1q22. As the largest human chromosome, chromosome 1 spans about 260 million base pairs and makes up approximately 8 % of the human genome. Hutchinson-Gilford progeria, a rare aging disorder, is associated with the LMNA gene which is located on chromosome 1. Familial adenomatous polyposis, Stickler syndrome, Parkinsons, Gaucher disease and Usher syndrome are also associated with chromosome 1. Aberrations in chromosome 1 are found in a variety of cancers including head and neck cancer, malignant melanoma and multiple myeloma.
-
基因ID
- 10712
抗原
-