电话:
+86 (0512) 65829739
传真:
+86 (010) 6788 5057
电子邮件:
orders@antibodies-online.cn

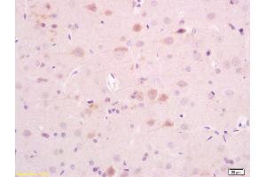
AKAP5 抗体 (AA 611-714)

The 兔 多克隆 anti-AKAP5 antibody is suitable to detect AKAP5 in samples from 大鼠. It has been validated for WB, ELISA, IF (cc), IF (p), IHC (p) 和 IHC (fro).
产品编号 ABIN1387544
发货至: 中国
Contact our Customer Service for availability and price in your country. Contact Info

Our Local Distributor

中国
北京 101111
No. 88 KeChuang 6th Street
Beijing Economic Technological Development Area
Room 801-803
4A Biotech Co.,Ltd.
Tel +86 (0512) 65829739 传真 +86 (010) 6788 5057

Quick Overview for AKAP5 抗体 (AA 611-714) (ABIN1387544)

抗原

See all AKAP5 抗体
AKAP5 (A Kinase (PRKA) Anchor Protein 5 (AKAP5))

适用

  • 31
  • 19
  • 6
  • 2
  • 2
  • 2
  • 1
  • 1
  • 1
大鼠

宿主

  • 45
  • 1

克隆类型

  • 44
  • 1
多克隆

标记

  • 20
  • 3
  • 2
  • 2
  • 1
  • 1
  • 1
  • 1
  • 1
  • 1
  • 1
  • 1
  • 1
  • 1
  • 1
  • 1
  • 1
  • 1
  • 1
  • 1
  • 1
  • 1
  • 1
This AKAP5 antibody is un-conjugated

应用范围

  • 37
  • 17
  • 12
  • 12
  • 6
  • 5
  • 3
  • 2
  • 1
  • 1
Western Blotting (WB), ELISA, Immunofluorescence (Cultured Cells) (IF (cc)), Immunofluorescence (Paraffin-embedded Sections) (IF (p)), Immunohistochemistry (Paraffin-embedded Sections) (IHC (p)), Immunohistochemistry (Frozen Sections) (IHC (fro))
  • 抗原表位

    • 14
    • 7
    • 4
    • 2
    • 1
    • 1
    • 1
    • 1
    • 1
    • 1
    • 1
    • 1
    • 1
    • 1
    • 1
    • 1
    AA 611-714

    交叉反应

    大鼠

    预测反应

    Human,Mouse,Dog,Cow,Pig,Horse,Rabbit

    纯化方法

    Purified by Protein A.

    免疫原

    KLH conjugated synthetic peptide derived from human AKAP5

    亚型

    IgG
  • 应用备注

    WB 1:300-5000
    ELISA 1:500-1000
    IHC-P 1:200-400
    IHC-F 1:100-500
    IF(IHC-P) 1:50-200
    IF(IHC-F) 1:50-200
    IF(ICC) 1:50-200

    限制

    仅限研究用
  • 状态

    Liquid

    浓度

    1 μg/μL

    缓冲液

    0.01M TBS( pH 7.4) with 1 % BSA, 0.02 % Proclin300 and 50 % Glycerol.

    储存液

    ProClin

    注意事项

    This product contains ProClin: a POISONOUS AND HAZARDOUS SUBSTANCE, which should be handled by trained staff only.

    储存条件

    4 °C,-20 °C

    储存方法

    Shipped at 4°C. Store at -20°C for one year. Avoid repeated freeze/thaw cycles.

    有效期

    12 months
  • 抗原

    AKAP5 (A Kinase (PRKA) Anchor Protein 5 (AKAP5))

    别名

    AKAP5

    背景

    Synonyms: A kinase PRKA anchor protein 5, A kinase anchor protein 5, A kinase anchor protein 79 kDa, A kinase anchoring protein 75/79, A-kinase anchor protein 5, A-kinase anchor protein 79 kDa, AKAP 5, AKAP 75, AKAP 79, AKAP-5, Akap5, AKAP5_HUMAN, AKAP75, AKAP79, cAMP dependent protein kinase regulatory subunit II high affinity binding protein, cAMP-dependent protein kinase regulatory subunit II high affinity-binding protein, H21.

    Background: The type II cAMP-protein kinase (PKA) is a multifunctional kinase with a broad range of substrates (1). Specificity of PKA signaling is thought to be mediated by the compartmentalization of the kinase to specific sites within the cell. To maintain this specific localization, the R subunit (RII) of PKA interacts with specific RII-anchoring proteins. This family of proteins has been designated A-kinase anchoring proteins (AKAP) (1-3). Members of this family, including MAP2 (microtubule-associated protein 2), neuronally expressed AKAP 79 and AKAP 150, and the DNA binding AKAP 95, display differential tissue specificity and localization (4-6). Evidence suggests that AKAP 79 and AKAP 150 are both capable of anchoring PKA to postsynaptic densities (PSD), which are a network of proteins located on the internal surfaces of excitatory synapses.

    基因ID

    9495

    UniProt

    P24588

    途径

    cAMP Metabolic Process
You are here: