电话:
+86 (0512) 65829739
传真:
+86 (010) 6788 5057
电子邮件:
orders@antibodies-online.cn

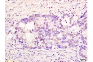
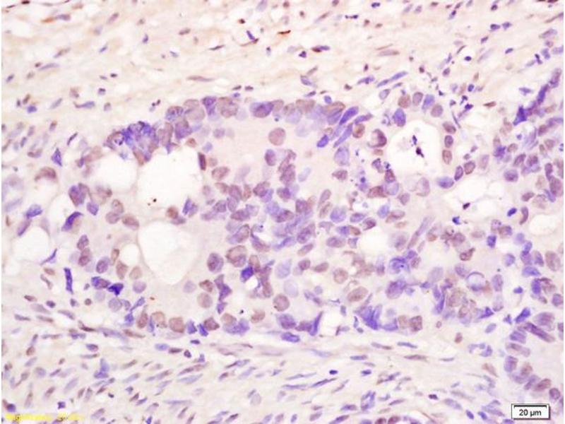
PMS1 抗体 (AA 21-120)

This 兔 多克隆 antibody specifically detects PMS1 in ELISA, IF (cc), IF (p), IHC (p), IHC (fro) 和 ICC. It exhibits reactivity toward 人.
产品编号 ABIN1387537
发货至: 中国
Contact our Customer Service for availability and price in your country. Contact Info

Our Local Distributor

中国
北京 101111
No. 88 KeChuang 6th Street
Beijing Economic Technological Development Area
Room 801-803
4A Biotech Co.,Ltd.
Tel +86 (0512) 65829739 传真 +86 (010) 6788 5057

Quick Overview for PMS1 抗体 (AA 21-120) (ABIN1387537)

抗原

See all PMS1 抗体
PMS1 (PMS1 Postmeiotic Segregation Increased 1 (S. Cerevisiae) (PMS1))

适用

  • 63
  • 14
  • 6

宿主

  • 57
  • 5
  • 1

克隆类型

  • 59
  • 4
多克隆

标记

  • 23
  • 4
  • 3
  • 3
  • 2
  • 2
  • 2
  • 2
  • 2
  • 2
  • 2
  • 2
  • 2
  • 2
  • 2
  • 1
  • 1
  • 1
  • 1
  • 1
  • 1
  • 1
  • 1
This PMS1 antibody is un-conjugated

应用范围

  • 38
  • 25
  • 25
  • 22
  • 6
  • 5
  • 5
  • 2
  • 1
  • 1
  • 1
  • 1
ELISA, Immunofluorescence (Cultured Cells) (IF (cc)), Immunofluorescence (Paraffin-embedded Sections) (IF (p)), Immunohistochemistry (Paraffin-embedded Sections) (IHC (p)), Immunohistochemistry (Frozen Sections) (IHC (fro)), Immunocytochemistry (ICC)
You are here: