电话:
+86 (0512) 65829739
传真:
+86 (010) 6788 5057
电子邮件:
orders@antibodies-online.cn

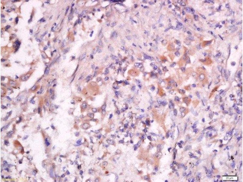
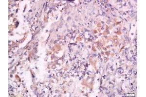
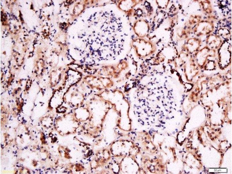
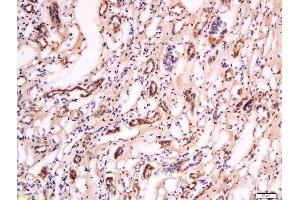
FOXD (AA 131-230) 抗体

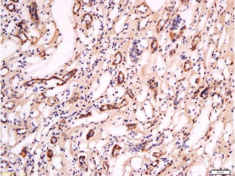
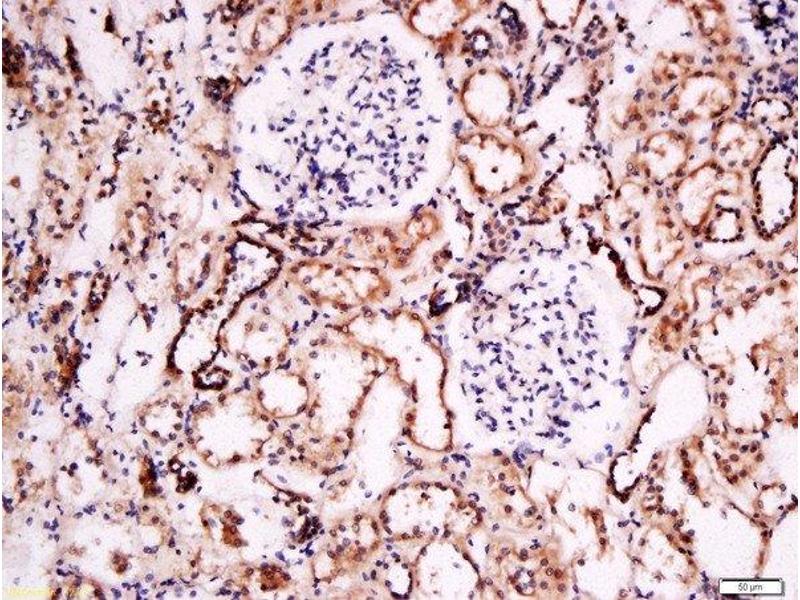
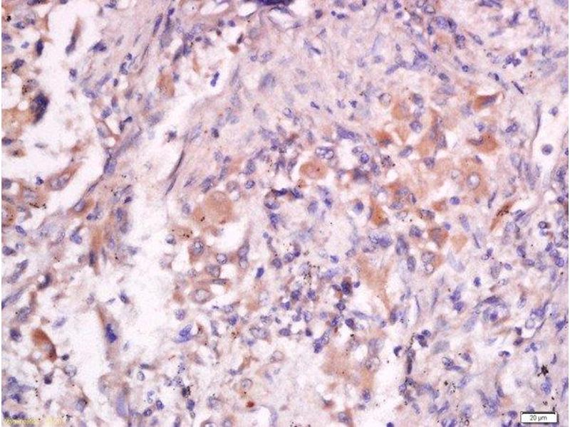
The 兔 多克隆 anti-FOXD antibody (ABIN1387371) specifically detects FOXD in WB, IF (cc), IF (p), ELISA, IHC (fro), IHC (p) 和 ICC. The antibody is reactive with 人 samples.
产品编号 ABIN1387371
发货至: 中国
Contact our Customer Service for availability and price in your country. Contact Info

Our Local Distributor

中国
北京 101111
No. 88 KeChuang 6th Street
Beijing Economic Technological Development Area
Room 801-803
4A Biotech Co.,Ltd.
Tel +86 (0512) 65829739 传真 +86 (010) 6788 5057

Quick Overview for FOXD (AA 131-230) 抗体 (ABIN1387371)

抗原

FOXD

适用

宿主

  • 14

克隆类型

  • 14
多克隆

标记

  • 1
  • 1
  • 1
  • 1
  • 1
  • 1
  • 1
  • 1
  • 1
  • 1
  • 1
  • 1
  • 1
  • 1
非结合性

应用范围

Western Blotting (WB), Immunofluorescence (Cultured Cells) (IF (cc)), Immunofluorescence (Paraffin-embedded Sections) (IF (p)), ELISA, Immunohistochemistry (Frozen Sections) (IHC (fro)), Immunohistochemistry (Paraffin-embedded Sections) (IHC (p)), Immunocytochemistry (ICC)
  • 抗原表位

    AA 131-230

    特异性

    This antibody is useful for detecting the total expression level FOXD1, 2, 3 and 4.

    预测反应

    Human,Mouse,Dog,Sheep,Chicken,Rabbit

    纯化方法

    Purified by Protein A.

    免疫原

    KLH conjugated synthetic peptide derived from human FOXD1

    亚型

    IgG
  • 应用备注

    WB 1:300-5000
    ELISA 1:500-1000
    IHC-P 1:200-400
    IHC-F 1:100-500
    IF(IHC-P) 1:50-200
    IF(IHC-F) 1:50-200
    IF(ICC) 1:50-200
    ICC 1:100-500

    限制

    仅限研究用
  • 状态

    Liquid

    浓度

    1 μg/μL

    缓冲液

    0.01M TBS( pH 7.4) with 1 % BSA, 0.02 % Proclin300 and 50 % Glycerol.

    储存液

    ProClin

    注意事项

    This product contains ProClin: a POISONOUS AND HAZARDOUS SUBSTANCE, which should be handled by trained staff only.

    储存条件

    4 °C,-20 °C

    储存方法

    Shipped at 4°C. Store at -20°C for one year. Avoid repeated freeze/thaw cycles.

    有效期

    12 months
  • 抗原

    FOXD

    背景

    Synonyms: Forkhead box protein D1, Forkhead-related protein FKHL8, Forkhead-related transcription factor 4, FREAC-4Forkhead box protein D2, Forkhead-related protein FKHL17, Forkhead-related transcription factor 9, FREAC-9, FOXD3, FOXD1Forkhead box protein D4, Forkhead-related protein FKHL9, Forkhead-related transcription factor 5, FREAC-5, HNF3/FH transcription factor genesis.

    Background: Transcription factor required for formation of positional identity in the developing retina, regionalization of the optic chiasm and morphogenesis of the kidney. Can neuralize ectodermal cells directly By similarity. Binds to the consensus sequence 5'-A[AT]T[AG]TTTGTTT-3' and acts as a transcriptional repressor. Also acts as a transcriptional activator. Promotes development of neural crest cells from neural tube progenitors. Restricts neural progenitor cells to the neural crest lineage while suppressing interneuron differentiation. Required for maintenance of pluripotent cells in the pre-implantation and peri-implantation stages of embryogenesis. Probable transcription factor involved in embryogenesis and somatogenesis. FOXD1 is involved in regulating inflammation as well as kidney and retinal development. FOXD1 regulates the activity of NFAT and NFkB. Deficiency of FOXD1 results in multiorgan systemic inflammation, exaggerated Th cell-derived cytokine production, and T cell proliferation in autogolgous MLRs. In kidneys, FOXD1 controls the production of signals required for the normal transition of induced mesenchyme into tubular epithelium and full growth and branching of the collecting system. Deletion of FOXD1 results in renal abnormalities. FOXD2 acts as a modulator of T cell activation.

    基因ID

    2297, 2298, 27022

    UniProt

    Q16676
You are here: