电话:
+86 (0512) 65829739
传真:
+86 (010) 6788 5057
电子邮件:
orders@antibodies-online.cn

DSPP 抗体

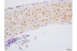
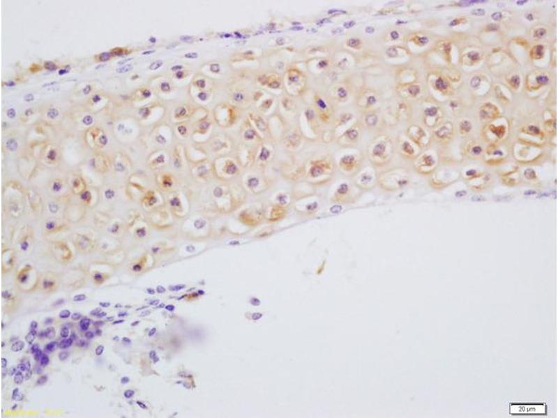
The 兔 多克隆 anti-DSPP antibody (ABIN1386864) specifically detects DSPP in IF (p) 和 IHC (p). The antibody is reactive with 人, 小鼠 和 大鼠 samples.
产品编号 ABIN1386864
发货至: 中国
Contact our Customer Service for availability and price in your country. Contact Info

Our Local Distributor

中国
北京 101111
No. 88 KeChuang 6th Street
Beijing Economic Technological Development Area
Room 801-803
4A Biotech Co.,Ltd.
Tel +86 (0512) 65829739 传真 +86 (010) 6788 5057

Quick Overview for DSPP 抗体 (ABIN1386864)

抗原

See all DSPP 抗体
DSPP (Dentin Sialophosphoprotein (DSPP))

适用

人, 小鼠, 大鼠

宿主

  • 21
  • 3

克隆类型

  • 21
  • 3
多克隆

标记

  • 10
  • 1
  • 1
  • 1
  • 1
  • 1
  • 1
  • 1
  • 1
  • 1
  • 1
  • 1
  • 1
  • 1
  • 1
This DSPP antibody is un-conjugated

应用范围

  • 22
  • 13
  • 13
  • 5
  • 5
  • 4
  • 4
  • 3
  • 3
  • 1
  • 1
  • 1
Immunofluorescence (Paraffin-embedded Sections) (IF (p)), Immunohistochemistry (Paraffin-embedded Sections) (IHC (p))
  • 交叉反应

    人, 小鼠, 大鼠

    纯化方法

    Purified by Protein A.

    免疫原

    KLH conjugated synthetic peptide derived from human DSPP/Dentin phosphophoryn

    亚型

    IgG
  • 应用备注

    IHC-P: (1:100-500), IF(IHC-P): (1:50-200)
    Optimal working dilution should be determined by the investigator.

    限制

    仅限研究用
  • 状态

    Liquid

    浓度

    1 μg/μL

    缓冲液

    Aqueous buffered solution containing 1 % BSA, 50 % glycerol and 0.09 % sodium azide.

    储存液

    Sodium azide

    注意事项

    This product contains Sodium azide: a POISONOUS AND HAZARDOUS SUBSTANCE which should be handled by trained staff only.

    储存条件

    -20 °C

    储存方法

    Store at -20°C for 12 months.

    有效期

    12 months
  • 抗原

    DSPP (Dentin Sialophosphoprotein (DSPP))

    别名

    DSPP

    背景

    Synonyms: Dentin phosphophoryn, Dentin phosphoprotein, dentin phosphoryn, Dentin sialophosphoprotein, Dentin sialophosphoprotein precursor, Dentin sialoprotein, dentinogenesis imperfecta 1, DFNA39, DGI1, DMP3, DPP, DSP, Dspp, DSPP_HUMAN, DTDP2.

    Background: DSPP may be an important factor in dentinogenesis. DSPP may bind high amount of calcium and facilitate initial mineralization of dentin matrix collagen as well as regulate the size and shape of the crystals.The dentin sialophosphoprotein (DSPP) gene encodes two major noncollagenous dentin matrix proteins: dentin sialoprotein, known as DSP, and dentin phosphoprotein, known as phosphophoryn or DPP. The DSPP gene maps to human chromosome 4 and yields a 4.6 kb transcript containing 5 exons, with exons 1-4 encoding for DSP and exon 5 encoding for both the C-terminus of DSP and the full length DPP. DPP and DSP are acidic proteins that represent about 50 % of the noncollagenous proteins in the dentin extracellular matrix of teeth. The DSPP gene is a likely candidate gene for the genetic diseases associated with abnormal dentin formation such as dentinogenesis imperfecta type II and dentin dysplasia type II. DPP may bind large amounts of calcium and may facilitate initial mineralization of dentin matrix collagen as well as regulate the size and shape of the crystals.

    基因ID

    1834
You are here: