电话:
+86 (0512) 65829739
传真:
+86 (010) 6788 5057
电子邮件:
orders@antibodies-online.cn

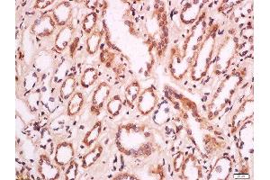
MELK 抗体 (AA 101-250)

This 兔 多克隆 antibody specifically detects MELK in ELISA, IF (cc), IF (p), IHC (p), ICC 和 IHC (fro). It exhibits reactivity toward 人.
产品编号 ABIN1386742
发货至: 中国
Contact our Customer Service for availability and price in your country. Contact Info

Our Local Distributor

中国
北京 101111
No. 88 KeChuang 6th Street
Beijing Economic Technological Development Area
Room 801-803
4A Biotech Co.,Ltd.
Tel +86 (0512) 65829739 传真 +86 (010) 6788 5057

Quick Overview for MELK 抗体 (AA 101-250) (ABIN1386742)

抗原

See all MELK 抗体
MELK (Maternal Embryonic Leucine Zipper Kinase (MELK))

适用

  • 62
  • 19
  • 14
  • 4
  • 4
  • 4
  • 3
  • 3
  • 2
  • 2

宿主

  • 61
  • 6

克隆类型

  • 59
  • 8
多克隆

标记

  • 36
  • 4
  • 3
  • 3
  • 2
  • 2
  • 1
  • 1
  • 1
  • 1
  • 1
  • 1
  • 1
  • 1
  • 1
  • 1
  • 1
  • 1
  • 1
  • 1
  • 1
  • 1
  • 1
This MELK antibody is un-conjugated

应用范围

  • 39
  • 28
  • 12
  • 12
  • 9
  • 7
  • 6
  • 5
  • 3
  • 3
  • 2
  • 1
  • 1
ELISA, Immunofluorescence (Cultured Cells) (IF (cc)), Immunofluorescence (Paraffin-embedded Sections) (IF (p)), Immunohistochemistry (Paraffin-embedded Sections) (IHC (p)), Immunocytochemistry (ICC), Immunohistochemistry (Frozen Sections) (IHC (fro))
  • 抗原表位

    • 14
    • 8
    • 8
    • 4
    • 3
    • 2
    • 2
    • 2
    • 1
    • 1
    • 1
    • 1
    • 1
    • 1
    • 1
    • 1
    • 1
    • 1
    • 1
    • 1
    • 1
    • 1
    AA 101-250

    交叉反应

    预测反应

    Mouse,Rat,Dog,Cow,Sheep,Pig,Horse,Rabbit

    纯化方法

    Purified by Protein A.

    免疫原

    KLH conjugated synthetic peptide derived from human MELK/HPK38

    亚型

    IgG
  • 应用备注

    ELISA 1:500-1000
    IHC-P 1:200-400
    IHC-F 1:100-500
    IF(IHC-P) 1:50-200
    IF(IHC-F) 1:50-200
    IF(ICC) 1:50-200
    ICC 1:100-500

    限制

    仅限研究用
  • 状态

    Liquid

    浓度

    1 μg/μL

    缓冲液

    0.01M TBS( pH 7.4) with 1 % BSA, 0.02 % Proclin300 and 50 % Glycerol.

    储存液

    ProClin

    注意事项

    This product contains ProClin: a POISONOUS AND HAZARDOUS SUBSTANCE, which should be handled by trained staff only.

    储存条件

    4 °C,-20 °C

    储存方法

    Shipped at 4°C. Store at -20°C for one year. Avoid repeated freeze/thaw cycles.

    有效期

    12 months
  • 抗原

    MELK (Maternal Embryonic Leucine Zipper Kinase (MELK))

    别名

    MELK/HPK38

    背景

    Synonyms: HPK38, Maternal embryonic leucine zipper kinase, hMELK, Protein kinase Eg3, pEg3 kinase, Protein kinase PK38, Tyrosine-protein kinase MELK, MELK, KIAA175

    Background: Serine/threonine-protein kinase involved in various processes such as cell cycle regulation, self-renewal of stem cells, apoptosis and splicing regulation. Has a broad substrate specificity, phosphorylates BCL2L14, CDC25B, MAP3K5/ASK1 and ZNF622. Acts as an activator of apoptosis by phosphorylating and activating MAP3K5/ASK1. Acts as a regulator of cell cycle, notably by mediating phosphorylation of CDC25B, promoting localization of CDC25B to the centrosome and the spindle poles during mitosis. Plays a key role in cell proliferation and carcinogenesis. Required for proliferation of embryonic and postnatal multipotent neural progenitors. Phosphorylates and inhibits BCL2L14, possibly leading to affect mammary carcinogenesis by mediating inhibition of the pro-apoptotic function of BCL2L14. Also involved in the inhibition of spliceosome assembly during mitosis by phosphorylating ZNF622, thereby contributing to its redirection to the nucleus. May also play a role in primitive hematopoiesis.

    基因ID

    9833

    UniProt

    Q14680
You are here: