电话:
+86 (0512) 65829739
传真:
+86 (010) 6788 5057
电子邮件:
orders@antibodies-online.cn

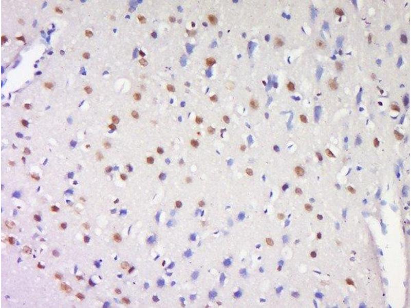
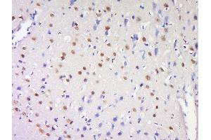
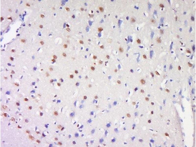
ProSAPiP1 抗体 (AA 151-250)

The 兔 多克隆 anti-ProSAPiP1 antibody (ABIN1386459) specifically detects ProSAPiP1 in WB, FACS, IF (cc), IF (p), ELISA, IHC (p), IHC (fro) 和 ICC. The antibody is reactive with 小鼠 和 大鼠 samples.
产品编号 ABIN1386459
发货至: 中国
Contact our Customer Service for availability and price in your country. Contact Info

Our Local Distributor

中国
北京 101111
No. 88 KeChuang 6th Street
Beijing Economic Technological Development Area
Room 801-803
4A Biotech Co.,Ltd.
Tel +86 (0512) 65829739 传真 +86 (010) 6788 5057

Quick Overview for ProSAPiP1 抗体 (AA 151-250) (ABIN1386459)

抗原

ProSAPiP1 (PROSAPIP1) (ProSAP-Interacting Protein 1 (PROSAPIP1))

适用

  • 18
  • 18
  • 5
小鼠, 大鼠

宿主

  • 18
  • 2

克隆类型

  • 20
多克隆

标记

  • 5
  • 1
  • 1
  • 1
  • 1
  • 1
  • 1
  • 1
  • 1
  • 1
  • 1
  • 1
  • 1
  • 1
  • 1
  • 1
This ProSAPiP1 antibody is un-conjugated

应用范围

  • 20
  • 13
  • 12
  • 12
  • 4
  • 3
  • 2
  • 2
  • 1
Western Blotting (WB), Flow Cytometry (FACS), Immunofluorescence (Cultured Cells) (IF (cc)), Immunofluorescence (Paraffin-embedded Sections) (IF (p)), ELISA, Immunohistochemistry (Paraffin-embedded Sections) (IHC (p)), Immunohistochemistry (Frozen Sections) (IHC (fro)), Immunocytochemistry (ICC)
  • 抗原表位

    • 15
    • 2
    • 2
    • 1
    • 1
    AA 151-250

    交叉反应

    小鼠, 大鼠

    预测反应

    Human,Dog,Cow,Pig,Horse,Rabbit

    纯化方法

    Purified by Protein A.

    免疫原

    KLH conjugated synthetic peptide derived from human ProSAPiP1

    亚型

    IgG
  • 应用备注

    WB 1:300-5000
    ELISA 1:500-1000
    FCM 1:20-100
    IHC-P 1:200-400
    IHC-F 1:100-500
    IF(IHC-P) 1:50-200
    IF(IHC-F) 1:50-200
    IF(ICC) 1:50-200
    ICC 1:100-500

    限制

    仅限研究用
  • 状态

    Liquid

    浓度

    1 μg/μL

    缓冲液

    0.01M TBS( pH 7.4) with 1 % BSA, 0.02 % Proclin300 and 50 % Glycerol.

    储存液

    ProClin

    注意事项

    This product contains ProClin: a POISONOUS AND HAZARDOUS SUBSTANCE, which should be handled by trained staff only.

    储存条件

    4 °C,-20 °C

    储存方法

    Shipped at 4°C. Store at -20°C for one year. Avoid repeated freeze/thaw cycles.

    有效期

    12 months
  • 抗原

    ProSAPiP1 (PROSAPIP1) (ProSAP-Interacting Protein 1 (PROSAPIP1))

    别名

    ProSAPiP1

    背景

    Synonyms: PROSAPIP1, Leucine zipper putative tumor suppressor 3, ProSAP-interacting protein 1, LZTS3, KIAA0552

    Background: The ProSAP family of proteins contain many protein-protein interaction domains and serve as scaffolding mediators within the post-synaptic density (PSD) of excitatory brain synapses. The PSD is an electron-dense structure underneath the post-synaptic plasma membrane of excitatory synapses that anchors and clusters glutamate receptors opposite to the pre-synaptic neurotransmitter release site. Shank proteins contain PDZ modular domains that coordinate the synaptic localization of ion channels, receptors, signaling enzymes, and cell adhesion molecules. The PDZ domain mediates protein-protein interactions via the recognition of a conserved sequence motif at the C-terminus of their target protein(s). ProSAPiP1 (proline rich synapse associated protein interacting protein 1) is a 673 amino acid protein that interacts with the PDZ domain of Shank 3. ProSAPiP1 expression is brain-specific with highest expression within the cerebellum, hippocampus and cerebral cortex.

    基因ID

    9762

    UniProt

    O60299
You are here: