电话:
+86 (0512) 65829739
传真:
+86 (010) 6788 5057
电子邮件:
orders@antibodies-online.cn

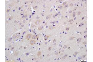
MOBP 抗体 (AA 7-90)

The 兔 多克隆 anti-MOBP antibody (ABIN1386450) specifically detects MOBP in WB, ELISA, IF (cc), IF (p), IHC (p), IHC (fro) 和 ICC. The antibody is reactive with 人, 小鼠 和 大鼠 samples.
产品编号 ABIN1386450
发货至: 中国
Contact our Customer Service for availability and price in your country. Contact Info

Our Local Distributor

中国
北京 101111
No. 88 KeChuang 6th Street
Beijing Economic Technological Development Area
Room 801-803
4A Biotech Co.,Ltd.
Tel +86 (0512) 65829739 传真 +86 (010) 6788 5057

Quick Overview for MOBP 抗体 (AA 7-90) (ABIN1386450)

抗原

See all MOBP 抗体
MOBP (Myelin Associated Oligodendrocyte Basic Protein (MOBP))

适用

  • 37
  • 29
  • 18
  • 1
  • 1
  • 1
  • 1
  • 1
  • 1
人, 小鼠, 大鼠

宿主

  • 35
  • 2

克隆类型

  • 35
  • 2
多克隆

标记

  • 14
  • 4
  • 3
  • 3
  • 1
  • 1
  • 1
  • 1
  • 1
  • 1
  • 1
  • 1
  • 1
  • 1
  • 1
  • 1
  • 1
This MOBP antibody is un-conjugated

应用范围

  • 33
  • 18
  • 12
  • 12
  • 10
  • 5
  • 4
  • 2
  • 1
  • 1
Western Blotting (WB), ELISA, Immunofluorescence (Cultured Cells) (IF (cc)), Immunofluorescence (Paraffin-embedded Sections) (IF (p)), Immunohistochemistry (Paraffin-embedded Sections) (IHC (p)), Immunohistochemistry (Frozen Sections) (IHC (fro)), Immunocytochemistry (ICC)
You are here: