电话:
+86 (0512) 65829739
传真:
+86 (010) 6788 5057
电子邮件:
orders@antibodies-online.cn

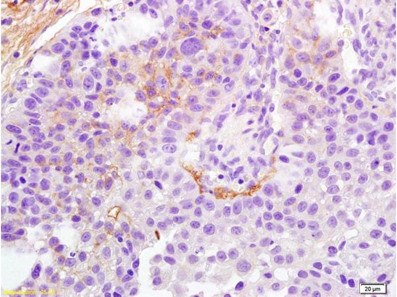
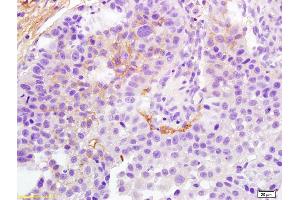
HLA-DM 抗体 (AA 101-200)

The 兔 多克隆 anti-HLA-DM antibody (ABIN1386099) specifically detects HLA-DM in ELISA, IF (cc), IF (p), IHC (fro), IHC (p) 和 WB. The antibody is reactive with 小鼠 samples.
产品编号 ABIN1386099
发货至: 中国
Contact our Customer Service for availability and price in your country. Contact Info

Our Local Distributor

中国
北京 101111
No. 88 KeChuang 6th Street
Beijing Economic Technological Development Area
Room 801-803
4A Biotech Co.,Ltd.
Tel +86 (0512) 65829739 传真 +86 (010) 6788 5057

Quick Overview for HLA-DM 抗体 (AA 101-200) (ABIN1386099)

抗原

HLA-DM (MHC Class II HLA-DM (HLA-DM))

适用

小鼠

宿主

克隆类型

多克隆

应用范围

ELISA, Immunofluorescence (Cultured Cells) (IF (cc)), Immunofluorescence (Paraffin-embedded Sections) (IF (p)), Immunohistochemistry (Frozen Sections) (IHC (fro)), Immunohistochemistry (Paraffin-embedded Sections) (IHC (p)), Western Blotting (WB)
  • 抗原表位

    AA 101-200

    交叉反应

    小鼠

    预测反应

    Human,Rat,Dog,Cow,Pig,Horse

    纯化方法

    Purified by Protein A.

    免疫原

    KLH conjugated synthetic peptide derived from human HLA DM

    亚型

    IgG
  • 应用备注

    WB 1:300-5000
    ELISA 1:500-1000
    IHC-P 1:200-400
    IHC-F 1:100-500
    IF(IHC-P) 1:50-200
    IF(IHC-F) 1:50-200
    IF(ICC) 1:50-200

    限制

    仅限研究用
  • 状态

    Liquid

    浓度

    1 μg/μL

    缓冲液

    0.01M TBS( pH 7.4) with 1 % BSA, 0.02 % Proclin300 and 50 % Glycerol.

    储存液

    ProClin

    注意事项

    This product contains ProClin: a POISONOUS AND HAZARDOUS SUBSTANCE, which should be handled by trained staff only.

    储存条件

    4 °C,-20 °C

    储存方法

    Shipped at 4°C. Store at -20°C for one year. Avoid repeated freeze/thaw cycles.

    有效期

    12 months
  • 抗原

    HLA-DM (MHC Class II HLA-DM (HLA-DM))

    别名

    HLA DM

    背景

    Synonyms: Class II histocompatibility antigen M alpha chain, D6S222E, DMA, HLA class II histocompatibility antigen DM alpha chain, HLA DMA, HLADM, Major histocompatibility complex class II DM alpha, MHC class II antigen DMA, Really interesting new gene 6 protein, Ring 6, Ring6, DMA_HUMAN.

    Background: Human Leukocyte Antigens are highly polymorphic proteins that are involved in the presentation of antigens to the T-cell receptor. There are two classes of HLA antigens, class I (HLA-A, HLA-B and HLA-C) and class II (HLA-D). This antibody can be used for HLA typing. HLA DM plays a critical role in catalyzing the release of class II HLA-associated invariant chain-derived peptides (CLIP) from newly synthesized class II HLA molecules and freeing the peptide binding site for acquisition of antigenic peptides.

    基因ID

    3108
You are here: