电话:
+86 (0512) 65829739
传真:
+86 (010) 6788 5057
电子邮件:
orders@antibodies-online.cn

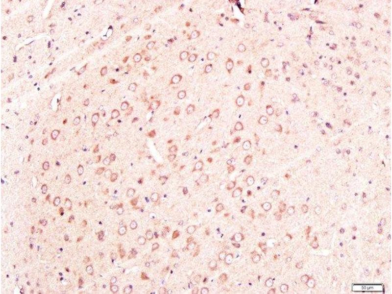
CSPG5 抗体 (AA 351-450)

The 兔 多克隆 anti-CSPG5 antibody is suitable to detect CSPG5 in samples from 人, 大鼠 和 小鼠. It has been validated for WB, ELISA, IF (cc), IF (p), ICC, IHC (fro) 和 IHC (p).
产品编号 ABIN1385741
发货至: 中国
Contact our Customer Service for availability and price in your country. Contact Info

Our Local Distributor

中国
北京 101111
No. 88 KeChuang 6th Street
Beijing Economic Technological Development Area
Room 801-803
4A Biotech Co.,Ltd.
Tel +86 (0512) 65829739 传真 +86 (010) 6788 5057

Quick Overview for CSPG5 抗体 (AA 351-450) (ABIN1385741)

抗原

See all CSPG5 抗体
CSPG5 (Chondroitin Sulfate Proteoglycan 5 (Neuroglycan C) (CSPG5))

适用

  • 50
  • 26
  • 26
  • 4
  • 4
  • 3
  • 2
  • 1
人, 大鼠, 小鼠

宿主

  • 42
  • 8
  • 3
  • 2

克隆类型

  • 48
  • 7
多克隆

标记

  • 21
  • 3
  • 3
  • 3
  • 2
  • 2
  • 1
  • 1
  • 1
  • 1
  • 1
  • 1
  • 1
  • 1
  • 1
  • 1
  • 1
  • 1
  • 1
  • 1
  • 1
  • 1
  • 1
  • 1
  • 1
  • 1
  • 1
This CSPG5 antibody is un-conjugated

应用范围

  • 43
  • 19
  • 12
  • 12
  • 5
  • 2
  • 2
  • 2
  • 2
  • 2
  • 1
Western Blotting (WB), ELISA, Immunofluorescence (Cultured Cells) (IF (cc)), Immunofluorescence (Paraffin-embedded Sections) (IF (p)), Immunocytochemistry (ICC), Immunohistochemistry (Frozen Sections) (IHC (fro)), Immunohistochemistry (Paraffin-embedded Sections) (IHC (p))
You are here: