BTBD1 抗体
Our Local Distributor
北京 101111
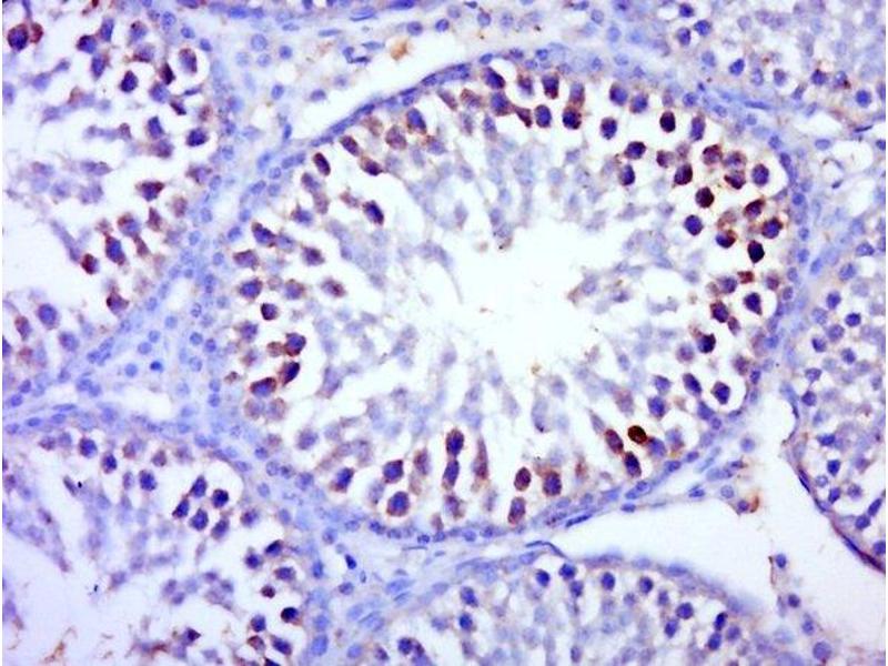
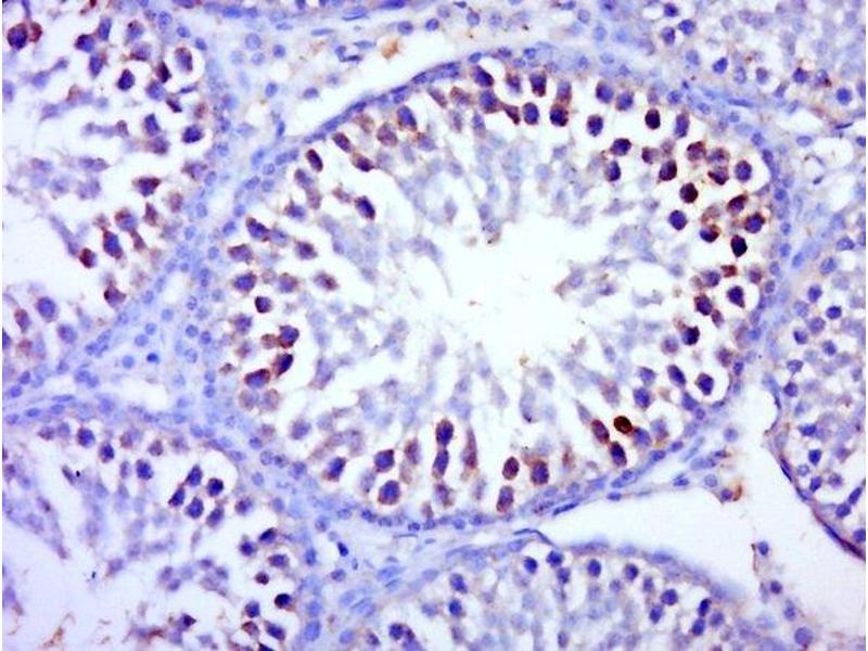
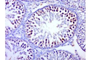
Quick Overview for BTBD1 抗体 (ABIN1385655)
抗原
See all BTBD1 抗体适用
宿主
克隆类型
标记
应用范围
-
-
交叉反应
- 人, 小鼠, 大鼠
-
纯化方法
- Purified by Protein A.
-
免疫原
- KLH conjugated synthetic peptide derived from human BTBD1
-
亚型
- IgG
-
-
-
-
应用备注
-
WB 1:300-5000
IHC-P 1:200-400
IF(IHC-P) 1:50-200 -
限制
- 仅限研究用
-
-
-
状态
- Liquid
-
浓度
- 1 μg/μL
-
缓冲液
- 0.01M TBS( pH 7.4) with 1 % BSA, 0.02 % Proclin300 and 50 % Glycerol.
-
储存液
- ProClin
-
注意事项
- This product contains ProClin: a POISONOUS AND HAZARDOUS SUBSTANCE, which should be handled by trained staff only.
-
储存条件
- 4 °C,-20 °C
-
储存方法
- Shipped at 4°C. Store at -20°C for one year. Avoid repeated freeze/thaw cycles.
-
有效期
- 12 months
-
-
- BTBD1 (BTB (POZ) Domain Containing 1 (BTBD1))
-
别名
- BTBD1
-
背景
-
Synonyms: BTB POZ domain containing 1, BTB domain containing 1, BTB/POZ domain containing protein 1, BTBD 1, BTBD1, C15orf1, HCV NS5A transactivated protein 8, Hepatitis C virus NS5A transactivated protein 8, NS5ATP8, BTBD1_HUMAN.
Background: BTBD1 contains a proline-rich region and a BTB/POZ domain which are typically involved in protein-protein interactions. The C-terminus of BTBD1 binds topoisomerase I and BTBD1 also interacts with TRIM5 isoform Delta. BTBD1 localizes to cytoplasmic bodies and is essential for myogenic differentiation.
-
基因ID
- 53339
抗原
-