Epstein-Barr Virus Latent Membrane Protein 2 (EBV LMP2) (AA 401-497) 抗体
Our Local Distributor
北京 101111
Quick Overview for Epstein-Barr Virus Latent Membrane Protein 2 (EBV LMP2) (AA 401-497) 抗体 (ABIN1385561)
抗原
适用
宿主
克隆类型
标记
应用范围
-
-
抗原表位
- AA 401-497
-
交叉反应
- 人, Virus
-
交叉反应 (详细)
- HHV4t2
-
纯化方法
- Purified by Protein A.
-
免疫原
- KLH conjugated synthetic peptide derived from HHV4t2 LMP2
-
亚型
- IgG
-
-
-
-
应用备注
-
ELISA 1:500-1000
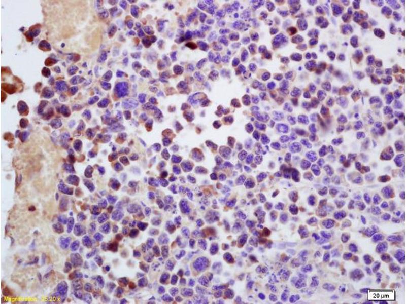
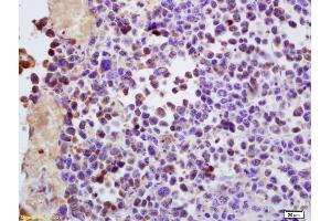
IHC-P 1:200-400
IHC-F 1:100-500
IF(IHC-P) 1:50-200
IF(IHC-F) 1:50-200
IF(ICC) 1:50-200 -
限制
- 仅限研究用
-
-
-
状态
- Liquid
-
浓度
- 1 μg/μL
-
缓冲液
- 0.01M TBS( pH 7.4) with 1 % BSA, 0.02 % Proclin300 and 50 % Glycerol.
-
储存液
- ProClin
-
注意事项
- This product contains ProClin: a POISONOUS AND HAZARDOUS SUBSTANCE, which should be handled by trained staff only.
-
储存条件
- 4 °C,-20 °C
-
储存方法
- Shipped at 4°C. Store at -20°C for one year. Avoid repeated freeze/thaw cycles.
-
有效期
- 12 months
-
-
- Epstein-Barr Virus Latent Membrane Protein 2 (EBV LMP2)
-
别名
- EBV LMP2
-
物质类
- Viral Protein
-
背景
-
Synonyms: EBV latent membrane protein 2A, Epstein Barr virus, HHV4, Human Herpesvirus 4, Latent membrane protein 2, LMP2, Terminal protein, EBV LMP2A, LMP2_EBVB9 , Latent membrane protein 2B, EBV LMP2B.
Background: Epstein Barr virus (EBV) is a member of the herpesvirus family and one of the most common human viruses. Most people become infected with EBV during their lives. Primary infections usually results in infectious mononucleosis (glandular fever) but the virus can also lay dormant in B lymphocytes and when reactivated become associated with more serious disease such as Burkitt's lymphoma, nasopharyngeal carcinoma and Hodgkin's disease. EBV latently infects B lymphocytes. Infected B cells express EBV nuclear antigens and latent proteins LMP1, LMP2A and LMP2B. LMP2A forms aggregates in the plasma membranes of B lymphocytes, where it functions as a negative regulator of the Src and Syk protein tyrosine kinases. Studies show that LMP2A blocks B-cell receptor (BCR) signal transduction in EBV immortalized B cells in vitro and may play an important role in maintaining a latent EBV infection within the peripheral blood B cells of infected individuals.
抗原
-