电话:
+86 (0512) 65829739
传真:
+86 (010) 6788 5057
电子邮件:
orders@antibodies-online.cn

C21orf62 抗体

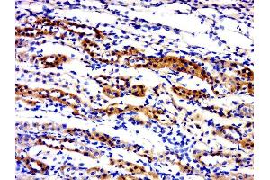
The 兔 多克隆 anti-C21orf62 antibody is suitable to detect C21orf62 in samples from 人, 大鼠 和 小鼠. It has been validated for WB, IF (p) 和 IHC (p).
产品编号 ABIN1385546
发货至: 中国
Contact our Customer Service for availability and price in your country. Contact Info

Our Local Distributor

中国
北京 101111
No. 88 KeChuang 6th Street
Beijing Economic Technological Development Area
Room 801-803
4A Biotech Co.,Ltd.
Tel +86 (0512) 65829739 传真 +86 (010) 6788 5057

Quick Overview for C21orf62 抗体 (ABIN1385546)

抗原

C21orf62 (Chromosome 21 Open Reading Frame 62 (C21orf62))

适用

人, 大鼠, 小鼠

宿主

  • 16
  • 2

克隆类型

  • 16
  • 2
多克隆

标记

  • 4
  • 1
  • 1
  • 1
  • 1
  • 1
  • 1
  • 1
  • 1
  • 1
  • 1
  • 1
  • 1
  • 1
  • 1
This C21orf62 antibody is un-conjugated

应用范围

  • 17
  • 12
  • 2
  • 1
Western Blotting (WB), Immunofluorescence (Paraffin-embedded Sections) (IF (p)), Immunohistochemistry (Paraffin-embedded Sections) (IHC (p))
  • 交叉反应

    人, 小鼠, 大鼠

    纯化方法

    Purified by Protein A.

    免疫原

    KLH conjugated synthetic peptide derived from human C21ORF62

    亚型

    IgG
  • 应用备注

    WB 1:300-5000
    IHC-P 1:200-400
    IF(IHC-P) 1:50-200

    限制

    仅限研究用
  • 状态

    Liquid

    浓度

    1 μg/μL

    缓冲液

    0.01M TBS( pH 7.4) with 1 % BSA, 0.02 % Proclin300 and 50 % Glycerol.

    储存液

    ProClin

    注意事项

    This product contains ProClin: a POISONOUS AND HAZARDOUS SUBSTANCE, which should be handled by trained staff only.

    储存条件

    4 °C,-20 °C

    储存方法

    Shipped at 4°C. Store at -20°C for one year. Avoid repeated freeze/thaw cycles.

    有效期

    12 months
  • 抗原

    C21orf62 (Chromosome 21 Open Reading Frame 62 (C21orf62))

    别名

    C21ORF62

    背景

    Synonyms: B37, C21orf120, Chromosome 21 open reading frame 62, Hypothetical protein LOC56245, PRED81, Uncharacterized protein C21orf62, CU062_HUMAN.

    Background: The smallest of the human chromosomes, 21 makes up about 1.5 % of the human genome. Chromosome 21 contains nearly 300 genes and 47 million base pairs. Down syndrome, also known as trisomy 21, is the disease most commonly associated with chromosome 21. Alzheimer's disease, Jervell and Lange-Nielsen syndrome and amyotrophic lateral sclerosis are also associated with chromosome 21. Translocations are found to occur between chromosome 21 and 8, and chromosome 21 and 12, in certain leukemias. The C21orf62 gene product has been provisionally designated C21orf62 pending further characterization.

    基因ID

    56245
You are here: