电话:
+86 (0512) 65829739
传真:
+86 (010) 6788 5057
电子邮件:
orders@antibodies-online.cn

C10orf93 抗体

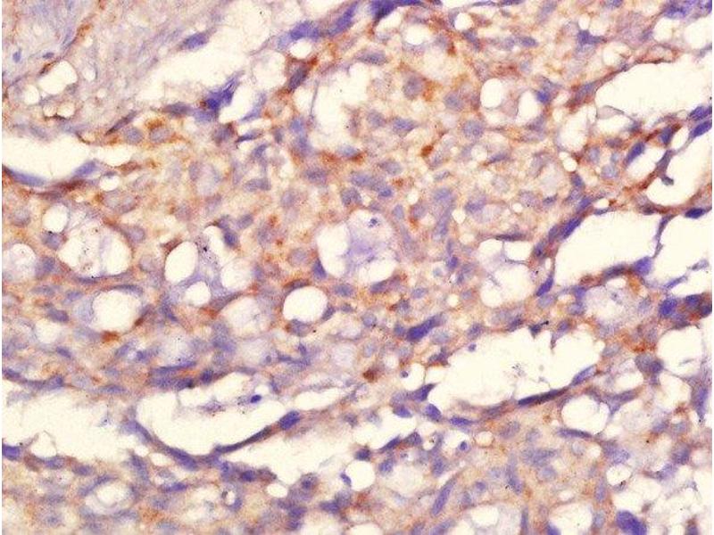
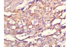
The 兔 多克隆 anti-C10orf93 antibody is suitable to detect C10orf93 in samples from 人, 小鼠 和 大鼠. It has been validated for IF (p) 和 IHC (p).
产品编号 ABIN1385489
发货至: 中国
Contact our Customer Service for availability and price in your country. Contact Info

Our Local Distributor

中国
北京 101111
No. 88 KeChuang 6th Street
Beijing Economic Technological Development Area
Room 801-803
4A Biotech Co.,Ltd.
Tel +86 (0512) 65829739 传真 +86 (010) 6788 5057

Quick Overview for C10orf93 抗体 (ABIN1385489)

抗原

C10orf93 (TTC40) (Tetratricopeptide Repeat Domain 40 (TTC40))

适用

人, 小鼠, 大鼠

宿主

  • 15

克隆类型

  • 15
多克隆

标记

  • 1
  • 1
  • 1
  • 1
  • 1
  • 1
  • 1
  • 1
  • 1
  • 1
  • 1
  • 1
  • 1
  • 1
  • 1
This C10orf93 antibody is un-conjugated

应用范围

  • 12
  • 2
  • 1
  • 1
  • 1
Immunofluorescence (Paraffin-embedded Sections) (IF (p)), Immunohistochemistry (Paraffin-embedded Sections) (IHC (p))
  • 交叉反应

    人, 小鼠, 大鼠

    纯化方法

    Purified by Protein A.

    免疫原

    KLH conjugated synthetic peptide derived from human C10orf93

    亚型

    IgG
  • 应用备注

    IHC-P 1:200-400
    IF(IHC-P) 1:50-200

    限制

    仅限研究用
  • 状态

    Liquid

    浓度

    1 μg/μL

    缓冲液

    0.01M TBS( pH 7.4) with 1 % BSA, 0.02 % Proclin300 and 50 % Glycerol.

    储存液

    ProClin

    注意事项

    This product contains ProClin: a POISONOUS AND HAZARDOUS SUBSTANCE, which should be handled by trained staff only.

    储存条件

    4 °C,-20 °C

    储存方法

    Shipped at 4°C. Store at -20°C for one year. Avoid repeated freeze/thaw cycles.

    有效期

    12 months
  • 抗原

    C10orf93 (TTC40) (Tetratricopeptide Repeat Domain 40 (TTC40))

    别名

    C10orf93

    背景

    Synonyms: TTC40, C10orf92, C10orf93, C10orf123, C10orf124, bA288G11.4, bA288G11.5, bB137A17.2, bB137A17.3, Protein CFAP46, Cilia- and flagella-associated protein 46, Tetratricopeptide repeat protein 40, CFAP46

    Background: C10orf93 , also known as C10orf124 or TPR repeat-containing protein C10orf93, is a 1,530 amino acid protein that contains two TPR repeats and exists as three alternatively spliced isoforms. The gene encoding C10orf93 maps to human chromosome 10q26.3. Spanning nearly 135 million base pairs, chromosome 10 makes up approximately 4.5 % of total DNA in cells and encodes nearly 1,200 genes. Several protein-coding genes, including those that encode for chemokines, cadherins, excision repair proteins, early growth response factors (Egrs) and fibroblast growth receptors (FGFRs), are located on chromosome 10. Defects in some of the genes that map to chromosome 10 are associated with Charcot-Marie Tooth disease, Jackson-Weiss syndrome, Usher syndrome, nonsyndromatic deafness, Wolman?s syndrome, Cowden syndrome, multiple endocrine neoplasia type 2 and porphyria.

    基因ID

    54777

    UniProt

    Q8IYW2
You are here: