电话:
+86 (0512) 65829739
传真:
+86 (010) 6788 5057
电子邮件:
orders@antibodies-online.cn

Nucleolar Protein 1 (NOL1) 抗体

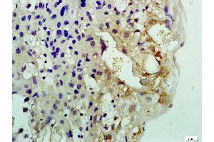
The 兔 多克隆 anti-Nucleolar Protein 1 antibody (ABIN1385475) specifically detects Nucleolar Protein 1 in WB, IF (p) 和 IHC (p). The antibody is reactive with 人, 大鼠 和 小鼠 samples.
产品编号 ABIN1385475
发货至: 中国
Contact our Customer Service for availability and price in your country. Contact Info

Our Local Distributor

中国
北京 101111
No. 88 KeChuang 6th Street
Beijing Economic Technological Development Area
Room 801-803
4A Biotech Co.,Ltd.
Tel +86 (0512) 65829739 传真 +86 (010) 6788 5057

Quick Overview for Nucleolar Protein 1 (NOL1) 抗体 (ABIN1385475)

抗原

See all Nucleolar Protein 1 (NOL1) 抗体
Nucleolar Protein 1 (NOL1)

适用

  • 27
  • 21
  • 21
  • 5
  • 5
  • 2
  • 2
  • 2
  • 2
  • 1
  • 1
  • 1
  • 1
人, 大鼠, 小鼠

宿主

  • 27
  • 1

克隆类型

  • 27
  • 1
多克隆

标记

  • 10
  • 1
  • 1
  • 1
  • 1
  • 1
  • 1
  • 1
  • 1
  • 1
  • 1
  • 1
  • 1
  • 1
  • 1
  • 1
  • 1
  • 1
  • 1
非结合性

应用范围

  • 27
  • 12
  • 3
  • 2
  • 2
  • 1
  • 1
  • 1
Western Blotting (WB), Immunofluorescence (Paraffin-embedded Sections) (IF (p)), Immunohistochemistry (Paraffin-embedded Sections) (IHC (p))
  • 交叉反应

    人, 小鼠, 大鼠

    纯化方法

    Purified by Protein A.

    免疫原

    KLH conjugated synthetic peptide derived from human NOL1

    亚型

    IgG
  • 应用备注

    WB 1:300-5000
    IHC-P 1:200-400
    IF(IHC-P) 1:50-200

    限制

    仅限研究用
  • 状态

    Liquid

    浓度

    1 μg/μL

    缓冲液

    0.01M TBS( pH 7.4) with 1 % BSA, 0.02 % Proclin300 and 50 % Glycerol.

    储存液

    ProClin

    注意事项

    This product contains ProClin: a POISONOUS AND HAZARDOUS SUBSTANCE, which should be handled by trained staff only.

    储存条件

    4 °C,-20 °C

    储存方法

    Shipped at 4°C. Store at -20°C for one year. Avoid repeated freeze/thaw cycles.

    有效期

    12 months
  • 抗原

    Nucleolar Protein 1 (NOL1)

    别名

    NOL1

    背景

    Synonyms: proliferation Associated Nucleolar Antigen: NOL 1, NUCLEOLAR ANTIGEN p120, NOP2_HUMAN.

    Background: Proliferation-associated nucleolar antigen is expressed in mid G1 phase with peak level during the S phase and a rapid degradation during late mitosis. Its expression in breast carcinoma is correlated with patient prognosis.

    基因ID

    4839
You are here: