DENND2D 抗体 (AA 200-238)
Our Local Distributor
北京 101111
Quick Overview for DENND2D 抗体 (AA 200-238) (ABIN1385457)
抗原
适用
宿主
克隆类型
标记
应用范围
-
-
抗原表位
- AA 200-238
-
交叉反应
- 人, 小鼠, 大鼠
-
纯化方法
- Purified by Protein A.
-
免疫原
- KLH conjugated synthetic peptide derived from human DENND2D
-
亚型
- IgG
-
-
-
-
应用备注
-
WB 1:300-5000
FCM 1:20-100
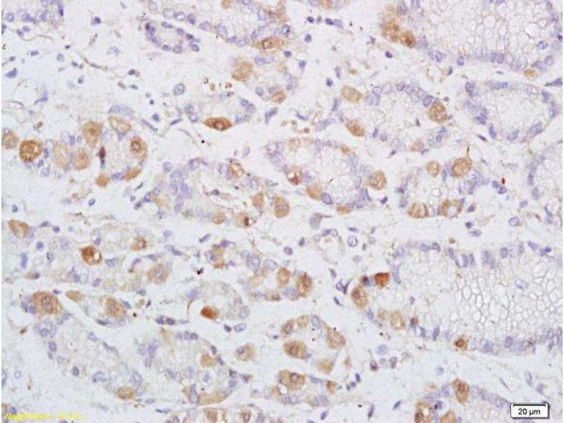
IHC-P 1:200-400
IF(IHC-P) 1:50-200 -
限制
- 仅限研究用
-
-
-
状态
- Liquid
-
浓度
- 1 μg/μL
-
缓冲液
- 0.01M TBS( pH 7.4) with 1 % BSA, 0.02 % Proclin300 and 50 % Glycerol.
-
储存液
- ProClin
-
注意事项
- This product contains ProClin: a POISONOUS AND HAZARDOUS SUBSTANCE, which should be handled by trained staff only.
-
储存条件
- 4 °C,-20 °C
-
储存方法
- Shipped at 4°C. Store at -20°C for one year. Avoid repeated freeze/thaw cycles.
-
有效期
- 12 months
-
-
- DENND2D (DENN/MADD Domain Containing 2D (DENND2D))
-
别名
- DENND2D
-
背景
-
Synonyms: DENN domain-containing protein 2D, DENND2D
Background: Guanine nucleotide exchange factor (GEF) which may activate RAB9A and RAB9B. Promotes the exchange of GDP to GTP, converting inactive GDP-bound Rab proteins into their active GTP-bound form.
-
基因ID
- 79961
-
UniProt
- Q9H6A0
抗原
-