电话:
+86 (0512) 65829739
传真:
+86 (010) 6788 5057
电子邮件:
orders@antibodies-online.cn

CST8 抗体

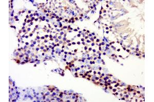
The 兔 多克隆 anti-CST8 antibody is suitable to detect CST8 in samples from 人, 小鼠 和 大鼠. It has been validated for WB, IHC (p) 和 IF (p).
产品编号 ABIN1385369
发货至: 中国
Contact our Customer Service for availability and price in your country. Contact Info

Our Local Distributor

中国
北京 101111
No. 88 KeChuang 6th Street
Beijing Economic Technological Development Area
Room 801-803
4A Biotech Co.,Ltd.
Tel +86 (0512) 65829739 传真 +86 (010) 6788 5057

Quick Overview for CST8 抗体 (ABIN1385369)

抗原

See all CST8 抗体
CST8 (Cystatin 8 (CST8))

适用

  • 24
  • 7
  • 5
  • 4
  • 3
  • 2
  • 1
  • 1
人, 小鼠, 大鼠

宿主

  • 20
  • 2
  • 2

克隆类型

  • 24
多克隆

标记

  • 17
  • 1
  • 1
  • 1
  • 1
  • 1
  • 1
  • 1
This CST8 antibody is un-conjugated

应用范围

  • 12
  • 8
  • 5
  • 1
  • 1
Western Blotting (WB), Immunohistochemistry (Paraffin-embedded Sections) (IHC (p)), Immunofluorescence (Paraffin-embedded Sections) (IF (p))
  • 交叉反应

    人, 小鼠, 大鼠

    纯化方法

    Purified by Protein A.

    免疫原

    KLH conjugated synthetic peptide derived from human CST8/Cystatin 8

    亚型

    IgG
  • 应用备注

    WB 1:300-5000
    IHC-P 1:200-400
    IF(IHC-P) 1:50-200

    限制

    仅限研究用
  • 状态

    Liquid

    浓度

    1 μg/μL

    缓冲液

    0.01M TBS( pH 7.4) with 1 % BSA, 0.02 % Proclin300 and 50 % Glycerol.

    储存液

    ProClin

    注意事项

    This product contains ProClin: a POISONOUS AND HAZARDOUS SUBSTANCE, which should be handled by trained staff only.

    储存条件

    4 °C,-20 °C

    储存方法

    Shipped at 4°C. Store at -20°C for one year. Avoid repeated freeze/thaw cycles.

    有效期

    12 months
  • 抗原

    CST8 (Cystatin 8 (CST8))

    别名

    CST8

    背景

    Synonyms: CRES, CST 8, Cst8, CST8_HUMAN, cystatin 8 cystatin related epididymal specic, Cystatin 8, Cystatin related epididymal specic, Cystatin related epididymal specic protein, Cystatin related epididymal spermatogenic protein, Cystatin related protein epididymis specic, Cystatin-8, Cystatin-related epididymal spermatogenic protein.

    Background: The cystatin superfamily is a well-established family of cysteine protease inhibitors. All true cystatins inhibit cysteine peptidases of the papain family, such as cathepsins, while some also inhibit legumain family enzymes. The CRES (cystatin-related epididymal spermatogenic) protein defines a new subgroup in the family 2 cystatins of the cystatin superfamily. CRES proteins lack two of the three consensus sites necessary for the cystatin inhibition of C1 cysteine proteases. They are also preferentially expressed in postmeiotic germ cells, the proximal caput epididymidis, and anterior pituitary gonadotrophs. Therefore, CRES proteins may perform unique and tissue-specific functions in the reproductive and neuroendocrine systems. As a member of the CRES subfamily, Cystatin 8 is a 142 amino acid protein that is expressed in the proximal caput region of the epididymis, where it performs a specialized role during sperm development and maturation.

    基因ID

    10047
You are here: