MICA/B 抗体 (AA 81-180)
Our Local Distributor
北京 101111
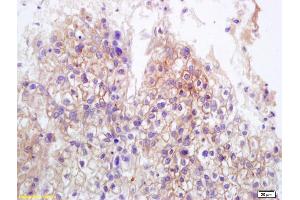
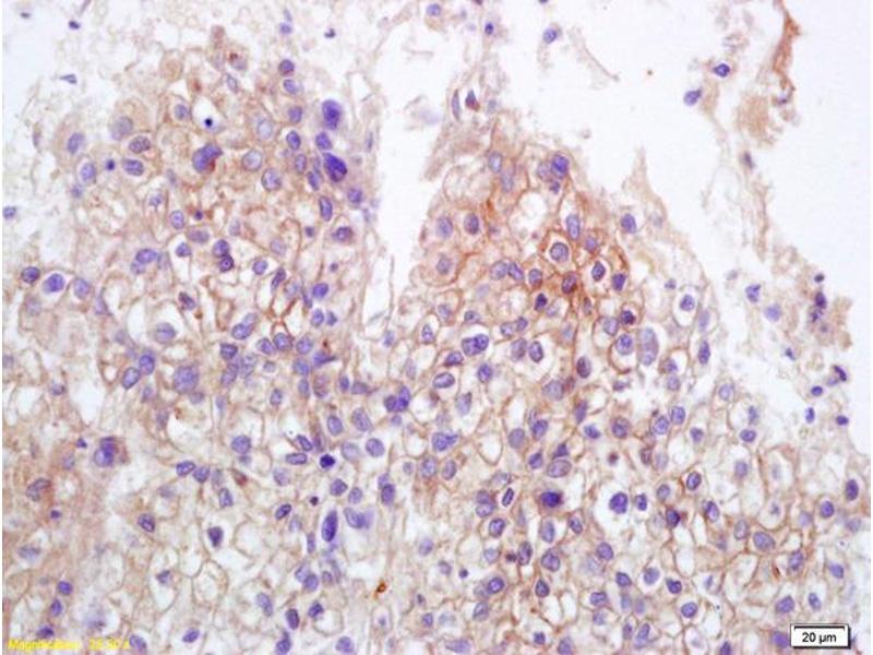
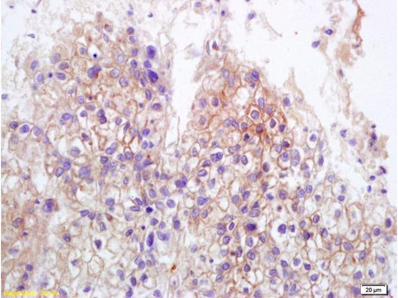
Quick Overview for MICA/B 抗体 (AA 81-180) (ABIN1385296)
抗原
适用
宿主
克隆类型
标记
应用范围
-
-
抗原表位
- AA 81-180
-
交叉反应
- 人
-
纯化方法
- Purified by Protein A.
-
免疫原
- KLH conjugated synthetic peptide derived from human MICB
-
亚型
- IgG
-
-
-
-
应用备注
-
ELISA 1:500-1000
IHC-P 1:200-400
IHC-F 1:100-500
IF(IHC-P) 1:50-200
IF(IHC-F) 1:50-200
IF(ICC) 1:50-200 -
限制
- 仅限研究用
-
-
-
状态
- Liquid
-
浓度
- 1 μg/μL
-
缓冲液
- 0.01M TBS( pH 7.4) with 1 % BSA, 0.02 % Proclin300 and 50 % Glycerol.
-
储存液
- ProClin
-
注意事项
- This product contains ProClin: a POISONOUS AND HAZARDOUS SUBSTANCE, which should be handled by trained staff only.
-
储存条件
- 4 °C,-20 °C
-
储存方法
- Shipped at 4°C. Store at -20°C for one year. Avoid repeated freeze/thaw cycles.
-
有效期
- 12 months
-
-
- MICA/B (MICA/MICB) (MHC Class I Polypeptide-Related Sequence A/B (MICA/MICB))
-
别名
- MICA+MICB
-
背景
-
Synonyms: MICA: MHC class I polypeptide-related sequence A, MIC-A, HLA class I antigen MICB: MHC class I polypeptide-related sequence B, MIC-B, MHC class I mic-B antigen
Background: Acts as a stress-induced self-antigen that is recognized by gamma delta T-cells. Ligand for the KLRK1/NKG2D receptor. Binding to KLRK1 leads to cell lysis.
-
基因ID
- 100507436, 4277
-
UniProt
- Q29983, Q29980
抗原
-