电话:
+86 (0512) 65829739
传真:
+86 (010) 6788 5057
电子邮件:
orders@antibodies-online.cn

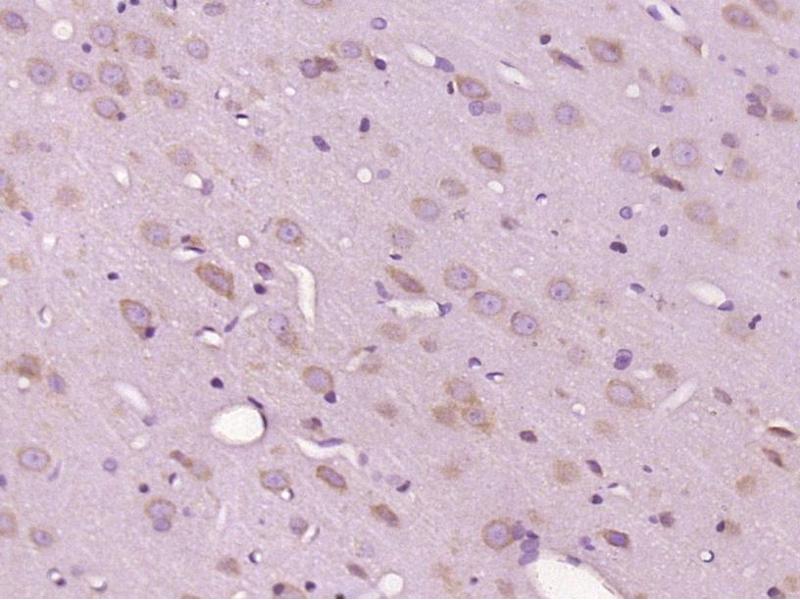
C12ORF50 抗体

The 兔 多克隆 anti-C12ORF50 antibody (ABIN1385100) specifically detects C12ORF50 in WB, IF (p) 和 IHC (p). The antibody is reactive with 人, 大鼠 和 小鼠 samples.
产品编号 ABIN1385100
发货至: 中国
Contact our Customer Service for availability and price in your country. Contact Info

Our Local Distributor

中国
北京 101111
No. 88 KeChuang 6th Street
Beijing Economic Technological Development Area
Room 801-803
4A Biotech Co.,Ltd.
Tel +86 (0512) 65829739 传真 +86 (010) 6788 5057

Quick Overview for C12ORF50 抗体 (ABIN1385100)

抗原

C12ORF50 (Chromosome 12 Open Reading Frame 50 (C12ORF50))

适用

  • 27
  • 16
  • 14
  • 2
  • 2
  • 2
  • 2
  • 1
  • 1
人, 大鼠, 小鼠

宿主

  • 27

克隆类型

  • 27
多克隆

标记

  • 7
  • 3
  • 3
  • 3
  • 1
  • 1
  • 1
  • 1
  • 1
  • 1
  • 1
  • 1
  • 1
  • 1
  • 1
This C12ORF50 antibody is un-conjugated

应用范围

  • 19
  • 12
  • 8
  • 2
Western Blotting (WB), Immunofluorescence (Paraffin-embedded Sections) (IF (p)), Immunohistochemistry (Paraffin-embedded Sections) (IHC (p))
  • 交叉反应

    人, 小鼠, 大鼠

    纯化方法

    Purified by Protein A.

    免疫原

    KLH conjugated synthetic peptide derived from human C12ORF50

    亚型

    IgG
  • 应用备注

    WB 1:300-5000
    IHC-P 1:200-400
    IF(IHC-P) 1:50-200

    限制

    仅限研究用
  • 状态

    Liquid

    浓度

    1 μg/μL

    缓冲液

    0.01M TBS( pH 7.4) with 1 % BSA, 0.02 % Proclin300 and 50 % Glycerol.

    储存液

    ProClin

    注意事项

    This product contains ProClin: a POISONOUS AND HAZARDOUS SUBSTANCE, which should be handled by trained staff only.

    储存条件

    4 °C,-20 °C

    储存方法

    Shipped at 4°C. Store at -20°C for one year. Avoid repeated freeze/thaw cycles.

    有效期

    12 months
  • 抗原

    C12ORF50 (Chromosome 12 Open Reading Frame 50 (C12ORF50))

    别名

    C12ORF50

    背景

    Synonyms: C5H12orf50, Chromosome 12 open reading frame 50, chromosome 12 open reading frame 50 ortholog, Hypothetical protein LOC160419, CL050_HUMAN.

    Background: Encoding over 1,100 genes within 132 million bases, chromosome 12 makes up about 4.5 % of the human genome. A number of skeletal deformities are linked to chromosome 12 including hypochondrogenesis, achondrogenesis and Kniest dysplasia. Noonan syndrome, which includes heart and facial developmental defects among the primary symptoms, is caused by a mutant form of PTPN11 gene product, SH-PTP2. Chromosome 12 is also home to a homeobox gene cluster which encodes crucial transcription factors for morphogenesis, and the natural killer complex gene cluster encoding C-type lectin proteins which mediate the NK cell response to MHC I interaction. Trisomy 12p leads to facial development defects, seizure disorders and a host of other symptoms varying in severity depending on the extent of mosaicism and is most severe in cases of complete trisomy. The C12orf50 gene product has been provisionally designated C12orf50 pending further characterization.

    基因ID

    160419
You are here: