电话:
+86 (0512) 65829739
传真:
+86 (010) 6788 5057
电子邮件:
orders@antibodies-online.cn

SNAP25 抗体

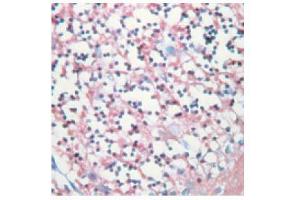
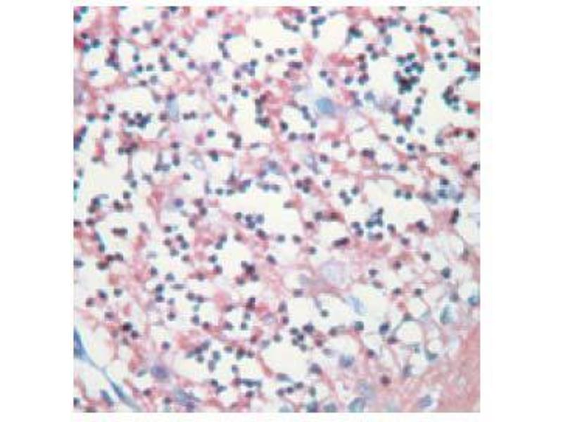
The 小鼠 单克隆 anti-SNAP25 antibody is suitable to detect SNAP25 in samples from 人, 大鼠, Pig 和 Hamster. It has been validated for WB, IHC (p) 和 EIA.
产品编号 ABIN119027
发货至: 中国
Contact our Customer Service for availability and price in your country. Contact Info

Our Local Distributor

中国
北京 101111
No. 88 KeChuang 6th Street
Beijing Economic Technological Development Area
Room 801-803
4A Biotech Co.,Ltd.
Tel +86 (0512) 65829739 传真 +86 (010) 6788 5057

Quick Overview for SNAP25 抗体 (ABIN119027)

抗原

See all SNAP25 抗体
SNAP25 (Synaptosomal-Associated Protein, 25kDa (SNAP25))

适用

  • 126
  • 94
  • 89
  • 10
  • 10
  • 9
  • 9
  • 8
  • 7
  • 5
  • 3
  • 2
  • 2
  • 2
  • 1
  • 1
  • 1
  • 1
  • 1
  • 1
  • 1
人, 大鼠, Pig, Hamster

宿主

  • 122
  • 27
  • 4
  • 2
  • 1
小鼠

克隆类型

  • 97
  • 56
  • 1
单克隆

标记

  • 79
  • 10
  • 6
  • 5
  • 5
  • 5
  • 5
  • 5
  • 5
  • 4
  • 4
  • 3
  • 2
  • 2
  • 2
  • 2
  • 1
  • 1
  • 1
  • 1
  • 1
  • 1
  • 1
  • 1
  • 1
  • 1
  • 1
  • 1
This SNAP25 antibody is un-conjugated

应用范围

  • 115
  • 49
  • 39
  • 33
  • 26
  • 22
  • 17
  • 16
  • 13
  • 13
  • 8
  • 4
  • 4
  • 2
  • 1
  • 1
  • 1
  • 1
Western Blotting (WB), Immunohistochemistry (Paraffin-embedded Sections) (IHC (p)), Enzyme Immunoassay (EIA)

克隆位点

SP12
  • 特异性

    This antibody appears to recognize the pre-synaptic protein SNAP-25, an antigen of 26-27 kDa Molecular Weight. It will recognise SNAP-25 fusion protein from COS cells, but not the fusion protein from bacterial systems. Research studies have used this antibody to study the distribution of synaptic changes in the hippocampus of patients with medically refractory temporal lobe epilepsy. (1,3,8)

    纯化方法

    Affinity Chromatography on Protein A.

    免疫原

    Crude Human synaptic immunoprecipitate.

    亚型

    IgG1
  • 应用备注

    Western Blot: 1/5000-1/10000. ELISA. Immunohistochemistry on Paraffin Sections: 1/2000-1/5000, This product does not require protein digestion pre-treatment of paraffin sections, This product does not require antigen retrieval using heat treatment prior to staining of paraffin sections. Recommended positive control tissue: Brain.
    Other applications not tested.
    Optimal dilutions are dependent on conditions and should be determined by the user.

    限制

    仅限研究用
  • 浓度

    1.0 mg/mL

    缓冲液

    PBS, pH 7.2 containing 0.09 % Sodium Azide as preservative.

    储存液

    Sodium azide

    注意事项

    This product contains sodium azide: a POISONOUS AND HAZARDOUS SUBSTANCE which should be handled by trained staff only.

    注意事项

    Avoid repeated freezing and thawing.

    储存条件

    4 °C/-20 °C

    储存方法

    Store the antibody undiluted at 2-8 °C for one month or (in aliquots) at -20 °C for longer.
  • 抗原

    SNAP25 (Synaptosomal-Associated Protein, 25kDa (SNAP25))

    别名

    SNAP25

    背景

    SNAP25 is a soluble protein of 25 kDa which plays a key role in vesicle membrane fusion events with the plasma membrane. This protein was originally discovered to be enriched in subsets of neurons in the brain and displays a presynaptic pattern of expression. The membrane proteins SNAP25, synaptobrevin, and syntaxin form the core of a ubiquitous membrane fusion machine that interacts with the soluble proteins N-ethylmaleimide-sensitive factor (NSF) and alpha-SNAP. Functional interactions have been demonstrated to exist between SNAP-25, syntaxin, and the synaptic protein interaction site on voltage-sensitive L- and N-type calcium channels. SNAP-25 has been shown to be required for synaptic vesicle fusion with the plasma membrane during release of nerve growth factor (NGF). Regulated exocytosis of cortical granule secretion in fertilized eggs and membrane fusion events in neurons and endocrine cells is mediated by SNAP-25 in a calcium-dependent mechanism. SNAP25 protein levels have been shown to be elevated in prolactinoma and growth hormone (GH)/prolactin (PRL) tumor cells while reduced SNAP-25 protein expression has been observed between schizophrenic and normal hippocampal cells. Altered patterns of SNAP-25 expression have also been observed in the inferior temporal cortex and prefrontal association cortex between normal brains and brains from individuals affected with schizophrenia. SNAP25 accumulation due to cytoskeletal dysfunction is also observed in the swollen axons of the white matter of individuals with severe Alzheimer's dementia.Synonyms: RIC4, SNAP, SNAP-25, SUP, Super Protein, Synaptosomal-associated 25 kDa protein, Synaptosomal-associated protein 25, ric-4

    基因ID

    6616

    NCBI登录号

    NP_003072

    UniProt

    P60880

    途径

    Positive Regulation of Peptide Hormone Secretion, Hormone Transport, Synaptic Vesicle Exocytosis, Dicarboxylic Acid Transport
You are here: