电话:
+86 (0512) 65829739
传真:
+86 (010) 6788 5057
电子邮件:
orders@antibodies-online.cn

CD209b Antigen (CD209B) 抗体

Cited in 1 publication. The 大鼠 单克隆 anti-CD209b Antigen antibody (Clone ER-TR9) (ABIN111861) specifically detects CD209b Antigen in FACS 和 IHC (fro). The antibody is reactive with 小鼠 samples.
产品编号 ABIN111861
发货至: 中国
Contact our Customer Service for availability and price in your country. Contact Info

Our Local Distributor

中国
北京 101111
No. 88 KeChuang 6th Street
Beijing Economic Technological Development Area
Room 801-803
4A Biotech Co.,Ltd.
Tel +86 (0512) 65829739 传真 +86 (010) 6788 5057

Quick Overview for CD209b Antigen (CD209B) 抗体 (ABIN111861)

抗原

See all CD209b Antigen (CD209B) 抗体
CD209b Antigen (CD209B)

适用

小鼠

宿主

  • 17
  • 9
  • 6
大鼠

克隆类型

  • 17
  • 15
单克隆

标记

  • 9
  • 4
  • 2
  • 2
  • 2
  • 1
  • 1
  • 1
  • 1
  • 1
  • 1
  • 1
  • 1
  • 1
  • 1
  • 1
  • 1
  • 1
非结合性

应用范围

  • 16
  • 13
  • 13
  • 9
  • 7
  • 4
  • 4
  • 4
  • 1
  • 1
  • 1
Flow Cytometry (FACS), Immunohistochemistry (Frozen Sections) (IHC (fro))

克隆位点

ER-TR9
  • 特异性

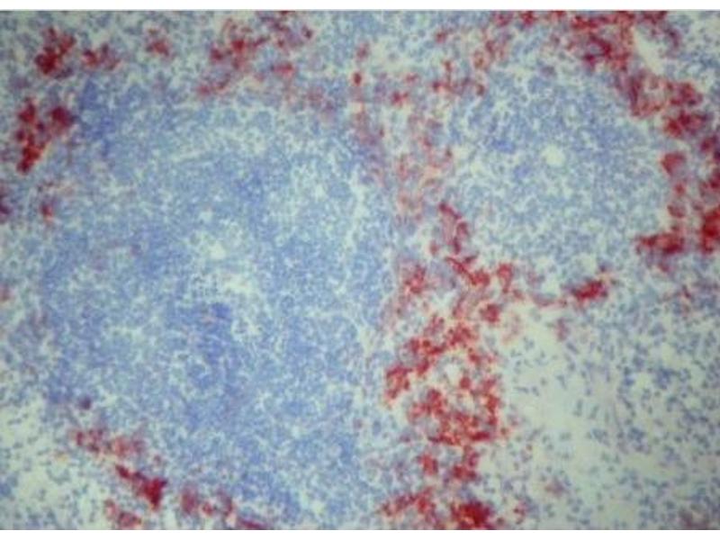
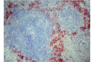
    ER-TR9 antibody is a very useful marker for the identification of macrophage subpopulations present in the splenic marginal zone, lymph node medulla and other organs. In combination with MOMA-1 (Cat-Nr SM066P), the murine metallophilic macrophage marker, a detailed characterization of murine splenic marginal zone macrophages is obtained. ER-TR9 is also useful when studying phagocytosis of neutral polysaccharides since the antibody selectively inhibits uptake of these glycans by macrophages. The antigen recognized by ER-TR9 has recently been shown to be the Murine analogue of the Human DC-SIGN (Dendritic Cell - Specific ICAM-3 Grabbing Non Integrin), named SIGN-R1. Antigen Distribution Antigen Distribution on Isolated cells: The antigen is found on a subpopulation of phagocytic macrophages isolated from the spleen and showing acid phosphatase and moderate non-specific esterase activity. These phagocytes selectively ingest neutral polysaccharides such as Ficoll. Antigen Distribution on Tissue Sections: Subpopulation of resident macrophages in the splenic marginal zone which are in the proximity of a certain B cell subpopulation (μ+, d-). It is also found on a subpopulation of macrophages localized in the medullary sinuses and trabecular sinuses of lymph nodes. Furthermore, macrophage subpopulations in other organs, such as some connective tissue macrophages in the dermis, may also show ER-TR9 antigen expression. This antibody is specific for a Mouse subpopulation of mature tissue macrophages present in the splenic marginal zone, lymph node medullary and trabecular sinuses.

    交叉反应 (详细)

    Species reactivity (tested):Mouse: Subpopulation of mature tissue macrophages present in the splenic marginal zone, lymph node medullary and trabecular sinuses.

    纯化方法

    Affinity Chromatography

    免疫原

    Thymus cells. Remarks: The antigen is a Glutaraldehyde (0.05%) resistant protein expressed in the cytoplasm and on the cell surface.

    亚型

    IgM
  • 应用备注

    Immunohistchemistry on Frozen Sections: 0.5 μg/mL (1/600). Does not react on routinely processed Paraffin sections. Recommended Positive Control: Mouse spleen. Has been described to work in FACS.
    Other applications not tested.
    Optimal dilutions are dependent on conditions and should be determined by the user.

    限制

    仅限研究用
  • 溶解方式

    Restore with 0.5 mL distilled water.

    浓度

    0.3 mg/mL

    缓冲液

    Stock solution contains PBS, pH 7.2 with 0.1 % Kathon as a preservative

    储存液

    Kathon CG

    注意事项

    This product contains Kathon CG a POISONOUS AND HAZARDOUS SUBSTANCE, which should be handled by trained staff only.

    注意事项

    Avoid repeated freezing and thawing.

    储存条件

    -20 °C
  • Weisel, Appelt, Schneider, Horlitz, van Rooijen, Korner, Mach, Winkler: "Unique requirements for reactivation of virus-specific memory B lymphocytes." in: Journal of immunology (Baltimore, Md. : 1950), Vol. 185, Issue 7, pp. 4011-21, (2010) (PubMed).

  • 抗原

    CD209b Antigen (CD209B)

    别名

    CD209b / DC-SIGNR1

    背景

    Synonyms: CD209 antigen-like protein B, DC-SIGN-related protein 1, OtB7

    基因ID

    69165

    NCBI登录号

    NP_001032889

    UniProt

    Q8CJ91
You are here: