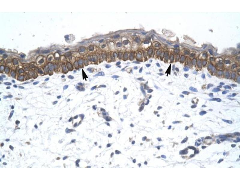
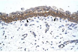
ZNF385A 抗体 (C-Term)
Our Local Distributor
北京 101111
Quick Overview for ZNF385A 抗体 (C-Term) (ABIN1109583)
抗原
See all ZNF385A 抗体适用
宿主
克隆类型
标记
应用范围
-
-
抗原表位
- C-Term
-
序列
- LKQHISSRRH RDGVAGKPNP LLSRHKKSRG AGELAGTLTF SKELPKSLAG
-
交叉反应 (详细)
- Species reactivity (expected):Mouse, Rat, Zebrafish, BovineSpecies reactivity (tested):Human
-
纯化方法
- Purified on peptide immunoaffinity column
-
免疫原
- The immunogen for anti-ZNF385 antibody: synthetic peptide directed towards the C terminal of human ZNF385.
-
-
-
-
应用备注
- Optimal working dilution should be determined by the investigator.
-
限制
- 仅限研究用
-
-
-
溶解方式
- Add 50 μL of distilled water
-
注意事项
- Avoid repeated freezing and thawing.
-
储存条件
- -20 °C
-
储存方法
- Store the lyophised antibody at -20 °C for up to one year. Store reconstitued antibody undiluted for one month or in aliquots at -20 °C long term.
-
有效期
- 12 months
-
-
- ZNF385A (Zinc Finger Protein 385A (ZNF385A))
-
别名
- ZNF385A
-
背景
- Results suggest that RZF is a shuttling regulatory protein expressed in photoreceptors of the human retina that may be involved in mRNA or protein regulation of photoreceptor-specific genes and therefore have role in retinal disease mechanisms.Synonyms: HZF, Hematopoietic zinc finger protein, RZF, Retinal zinc finger protein, ZNF385, Zinc finger protein 385A
-
基因ID
- 25946
-
NCBI登录号
- NP_056296
-
途径
- Positive Regulation of Response to DNA Damage Stimulus, Negative Regulation of intrinsic apoptotic Signaling, Positive Regulation of fat Cell Differentiation
抗原
-