电话:
+86 (0512) 65829739
传真:
+86 (010) 6788 5057
电子邮件:
orders@antibodies-online.cn

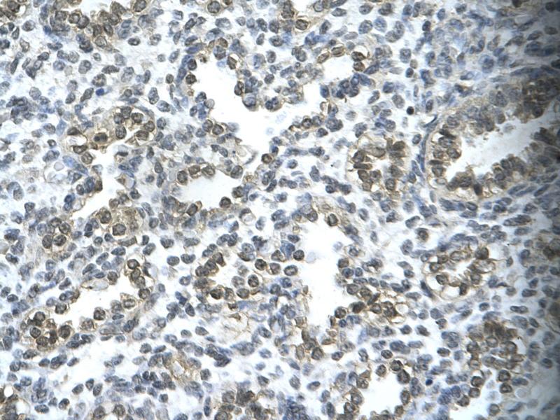
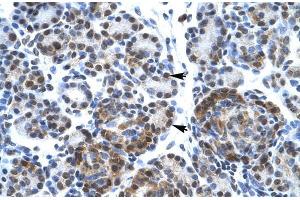
SUPT5H 抗体 (C-Term)

The 兔 多克隆 anti-SUPT5H antibody (ABIN1109175) specifically detects SUPT5H in WB 和 IHC (p). The antibody is reactive with 人, 小鼠, 大鼠, 犬, Cow, 斑马鱼, 小鸡 和 非洲爪蟾 samples.
产品编号 ABIN1109175
发货至: 中国
Contact our Customer Service for availability and price in your country. Contact Info

Our Local Distributor

中国
北京 101111
No. 88 KeChuang 6th Street
Beijing Economic Technological Development Area
Room 801-803
4A Biotech Co.,Ltd.
Tel +86 (0512) 65829739 传真 +86 (010) 6788 5057

Quick Overview for SUPT5H 抗体 (C-Term) (ABIN1109175)

抗原

See all SUPT5H 抗体
SUPT5H (Transcription Elongation Factor SPT5 (SUPT5H))

适用

  • 48
  • 31
  • 27
  • 7
  • 6
  • 6
  • 6
  • 5
  • 3
  • 2
  • 1
  • 1
人, 小鼠, 大鼠, 犬, Cow, 斑马鱼, 小鸡, 非洲爪蟾

宿主

  • 46
  • 2

克隆类型

  • 25
  • 23
多克隆

标记

  • 25
  • 3
  • 2
  • 2
  • 2
  • 2
  • 2
  • 2
  • 2
  • 2
  • 1
  • 1
  • 1
  • 1
This SUPT5H antibody is un-conjugated

应用范围

  • 44
  • 27
  • 16
  • 13
  • 12
  • 5
  • 2
  • 2
  • 1
  • 1
  • 1
Western Blotting (WB), Immunohistochemistry (Paraffin-embedded Sections) (IHC (p))
  • 抗原表位

    • 7
    • 4
    • 2
    • 1
    • 1
    • 1
    • 1
    • 1
    • 1
    • 1
    • 1
    • 1
    • 1
    • 1
    • 1
    C-Term

    序列

    PYAAPSPQGS YQPSPSPQSY HQVAPSPAGY QNTHSPASYH PTPSPMAYQA

    交叉反应 (详细)

    Species reactivity (expected):Mouse, Rat, Dog, Bovine, African clawed frog, Chicken, ZebrafishSpecies reactivity (tested):Human

    纯化方法

    Purified using peptide immunoaffinity column

    免疫原

    The immunogen for anti-SUPT5H antibody: synthetic peptide directed towards the C terminal of human SUPT5H
  • 应用备注

    Optimal working dilution should be determined by the investigator.

    限制

    仅限研究用
  • 溶解方式

    Add 50 μL of distilled water to a final concentration of 1 mg/mL.

    注意事项

    Avoid repeated freezing and thawing.

    储存条件

    4 °C/-20 °C

    储存方法

    Store lyophilized at 2-8 °C or at -20 °C long term. After reconstitution store the antibody undiluted at 2-8 °C for up to one month or in aliquots at -20 °C long term.
  • 抗原

    SUPT5H (Transcription Elongation Factor SPT5 (SUPT5H))

    别名

    SUPT5H

    背景

    SUPT5H and its binding partner regulate transcriptional elongation by RNA polymerase II. SPT4 and SPT5 are involved in both 5,6-dichloro-1-beta-D-ribofuranosylbenzimidazole (DRB)-mediated transcriptional inhibition and the activation of transcriptional elongation by the human immunodeficiency virus type 1 (HIV-1) Tat protein.Synonyms: DRB sensitivity-inducing factor large subunit, DSIF p160, DSIFp160, SPT5, SPT5H, Tat-CT1 protein, Tat-cotransactivator 1 protein, Transcription elongation factor SPT5

    基因ID

    6829

    NCBI登录号

    NP_003160
You are here: