电话:
+86 (0512) 65829739
传真:
+86 (010) 6788 5057
电子邮件:
orders@antibodies-online.cn

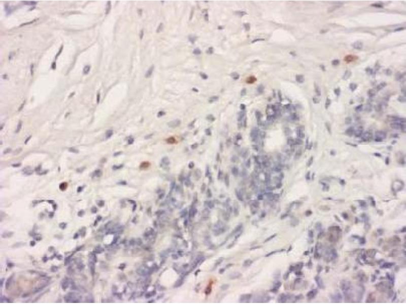
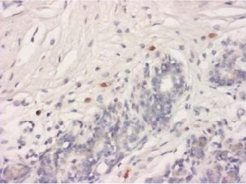
HTRA2 抗体

This 小鼠 单克隆 antibody specifically detects HTRA2 in WB, IP 和 IHC (p). It exhibits reactivity toward 人.It has been mentioned in 1 publication
产品编号 ABIN1107619
发货至: 中国
Contact our Customer Service for availability and price in your country. Contact Info

Our Local Distributor

中国
北京 101111
No. 88 KeChuang 6th Street
Beijing Economic Technological Development Area
Room 801-803
4A Biotech Co.,Ltd.
Tel +86 (0512) 65829739 传真 +86 (010) 6788 5057

Quick Overview for HTRA2 抗体 (ABIN1107619)

抗原

See all HTRA2 抗体
HTRA2 (HtrA Serine Peptidase 2 (HTRA2))

适用

  • 116
  • 73
  • 70
  • 2
  • 1

宿主

  • 102
  • 15
小鼠

克隆类型

  • 81
  • 36
单克隆

标记

  • 51
  • 9
  • 6
  • 4
  • 3
  • 3
  • 3
  • 3
  • 3
  • 3
  • 2
  • 2
  • 2
  • 2
  • 2
  • 2
  • 2
  • 2
  • 2
  • 2
  • 2
  • 2
  • 2
  • 1
  • 1
  • 1
This HTRA2 antibody is un-conjugated

应用范围

  • 82
  • 44
  • 42
  • 26
  • 26
  • 18
  • 14
  • 11
  • 8
  • 6
  • 5
  • 4
  • 2
  • 1
  • 1
  • 1
Western Blotting (WB), Immunoprecipitation (IP), Immunohistochemistry (Paraffin-embedded Sections) (IHC (p))

克隆位点

18-01-83
  • 特异性

    This antibody reacts with HtrA2/Omi (40 kDa) on Western blotting.

    纯化方法

    Protein-A Agarose Chromatography of hybridoma supernatant.

    免疫原

    Human recombinant 6His tagged HtrA2/Omi.

    亚型

    IgG2a
  • 应用备注

    Optimal working dilution should be determined by the investigator.

    限制

    仅限研究用
  • 浓度

    1.0 mg/mL

    缓冲液

    PBS, pH 7.2 containing 50 % Glycerol without preservatives.

    储存液

    Without preservative

    注意事项

    Avoid repeated freezing and thawing.

    储存条件

    -20 °C

    储存方法

    Store the antibody (in aliquots) at -20 °C.
  • Chung, Islam, Rahman, Hong: "Neuroprotective function of Omi to α-synuclein-induced neurotoxicity." in: Neurobiology of disease, Vol. 136, pp. 104706, (2021) (PubMed).

  • 抗原

    HTRA2 (HtrA Serine Peptidase 2 (HTRA2))

    别名

    HTRA2 / PRSS25

    背景

    HtrA2, also known as Omi or Serine Protease-25, is a trimeric chaperone/heat shock protein involved in the degradation of aberrantly folded proteins during cellular stress. The ubiquitous HtrA2 protein exists as two isoforms of 38 and 40 kDa and as an alternatively spliced form called D-Omi, which is predominately expressed in the kidney, colon and thyroid. HtrA2 appears to function in the progression of arthritis, aging, and tumor progression. During apoptosis, HtrA2 is released from mitochondria into the cytoplasm where it inhibits XIAP, a caspase inhibitor. Release of HtrA2 from mitochondria appears to require Bax and Bcl-2, and the resulting overexpression of HtrA2 into the cytoplasm induces caspase-independent apoptosis.Synonyms: High temperature requirement protein A2, OMI, Omi stress-regulated endoprotease, Serine protease 25, Serine proteinase OMI, mitochondrial Serine protease HTRA2

    基因ID

    27429

    NCBI登录号

    NP_037379

    UniProt

    O43464

    途径

    Positive Regulation of Endopeptidase Activity
You are here: