电话:
+86 (0512) 65829739
传真:
+86 (010) 6788 5057
电子邮件:
orders@antibodies-online.cn

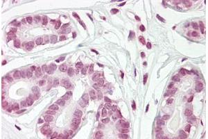
ZBTB2 抗体 (AA 450-500)

The 兔 多克隆 anti-ZBTB2 antibody (ABIN1105095) specifically detects ZBTB2 in WB, IHC 和 IHC (p). The antibody is reactive with 人, 小鼠, 大鼠, 犬, 马, 猴 和 Opossum samples.
产品编号 ABIN1105095
发货至: 中国
Contact our Customer Service for availability and price in your country. Contact Info

Our Local Distributor

中国
北京 101111
No. 88 KeChuang 6th Street
Beijing Economic Technological Development Area
Room 801-803
4A Biotech Co.,Ltd.
Tel +86 (0512) 65829739 传真 +86 (010) 6788 5057

Quick Overview for ZBTB2 抗体 (AA 450-500) (ABIN1105095)

抗原

See all ZBTB2 抗体
ZBTB2 (Zinc Finger and BTB Domain Containing 2 (ZBTB2))

适用

  • 37
  • 22
  • 6
  • 5
  • 3
  • 3
  • 3
  • 2
  • 2
  • 1
  • 1
  • 1
  • 1
人, 小鼠, 大鼠, 犬, 马, 猴, Opossum

宿主

  • 37

克隆类型

  • 37
多克隆

标记

  • 17
  • 1
  • 1
  • 1
  • 1
  • 1
  • 1
  • 1
  • 1
  • 1
  • 1
  • 1
  • 1
  • 1
  • 1
  • 1
  • 1
  • 1
  • 1
  • 1
  • 1
This ZBTB2 antibody is un-conjugated

应用范围

  • 14
  • 13
  • 13
  • 6
  • 5
  • 4
  • 3
  • 2
  • 2
  • 1
Western Blotting (WB), Immunohistochemistry (IHC), Immunohistochemistry (Paraffin-embedded Sections) (IHC (p))
You are here: