电话:
+86 (0512) 65829739
传真:
+86 (010) 6788 5057
电子邮件:
orders@antibodies-online.cn

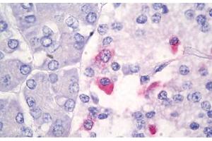
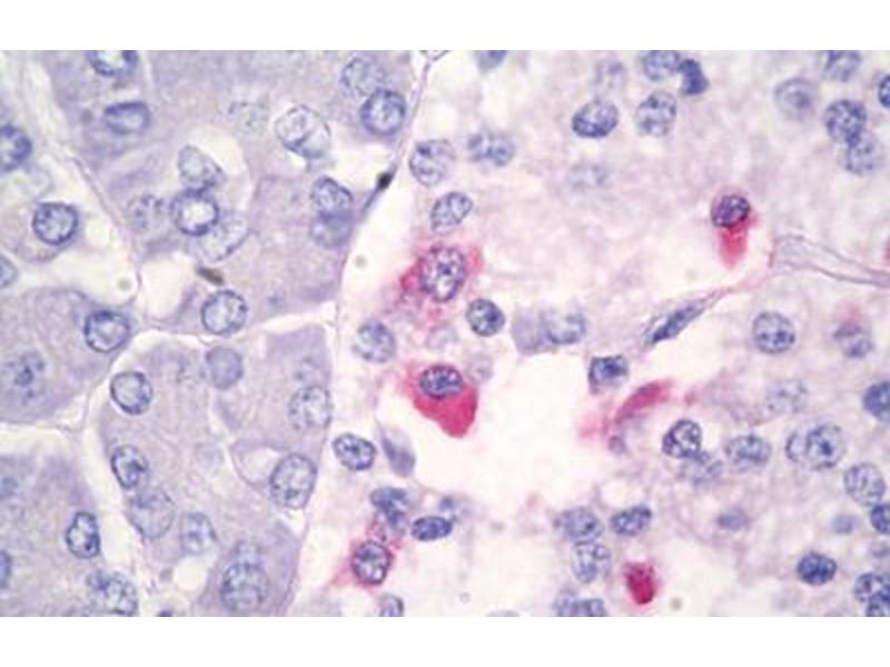
Somatostatin 抗体

The 大鼠 单克隆 anti-Somatostatin antibody is suitable to detect Somatostatin in samples from 人, 小鼠, 大鼠, Pig 和 豚鼠. It has been validated for IHC, IHC (p) 和 IHC (fro).
产品编号 ABIN1104479
发货至: 中国
Contact our Customer Service for availability and price in your country. Contact Info

Our Local Distributor

中国
北京 101111
No. 88 KeChuang 6th Street
Beijing Economic Technological Development Area
Room 801-803
4A Biotech Co.,Ltd.
Tel +86 (0512) 65829739 传真 +86 (010) 6788 5057

Quick Overview for Somatostatin 抗体 (ABIN1104479)

抗原

See all Somatostatin (SST) 抗体
Somatostatin (SST)

适用

人, 小鼠, 大鼠, Pig, 豚鼠

宿主

  • 85
  • 28
  • 1
  • 1
  • 1
大鼠

克隆类型

  • 74
  • 42
单克隆

标记

  • 50
  • 16
  • 4
  • 2
  • 2
  • 2
  • 2
  • 2
  • 2
  • 2
  • 2
  • 2
  • 2
  • 2
  • 2
  • 2
  • 2
  • 2
  • 2
  • 2
  • 2
  • 2
  • 2
  • 1
  • 1
  • 1
  • 1
  • 1
  • 1
This Somatostatin antibody is un-conjugated

应用范围

  • 70
  • 60
  • 20
  • 17
  • 16
  • 13
  • 7
  • 6
  • 6
  • 3
  • 1
  • 1
  • 1
  • 1
  • 1
Immunohistochemistry (IHC), Immunohistochemistry (Paraffin-embedded Sections) (IHC (p)), Immunohistochemistry (Frozen Sections) (IHC (fro))

克隆位点

YC7
  • 特异性

    Somatostatin. A hormone involved in endocrine system regulation through interactions with pituitary growth hormone, thyroid stimulating hormone, and a number of hormones of the gastrointestinal tract. Somatostatin has active 14 amino acid and 28 amino acid forms, produced by alternate cleavage of the gene product. Does not cross react with enkephalins, other endorphins, substance P, or CGRP. It partially cross reacts with somatostatin fragments. The epitope recognized by this lies within the 1-14 amino acid sequence of cyclic somatostatin.

    免疫原

    Somatostatin conjugated to Thyroglobulin.

    亚型

    IgG2b
  • 应用备注

    Approved: IHC, IHC-Fr, IHC-P (1:20)

    说明

    Target Species of Antibody: Human

    限制

    仅限研究用
  • 状态

    Liquid

    浓度

    Lot specific

    缓冲液

    Tissue Culture Supernatant, 0.05 % Thimerosal.

    储存液

    Thimerosal (Merthiolate)

    注意事项

    This product contains Thimerosal (Merthiolate): a POISONOUS AND HAZARDOUS SUBSTANCE which should be handled by trained staff only.

    注意事项

    Avoid repeated freezing and thawing.

    储存条件

    4 °C,-20 °C

    储存方法

    4°C or -20°C, Avoid freeze-thaw cycles.
  • 抗原

    Somatostatin (SST)

    别名

    SST / Somatostatin

    物质类

    Chemical

    背景

    Name/Gene ID: SST
    Family: Hormone

    Synonyms: SST, Somatostatin-28, SMST, Somatostatin-14, Somatostatin

    基因ID

    6750

    UniProt

    P61278
You are here: