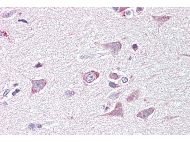
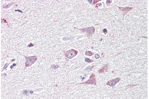
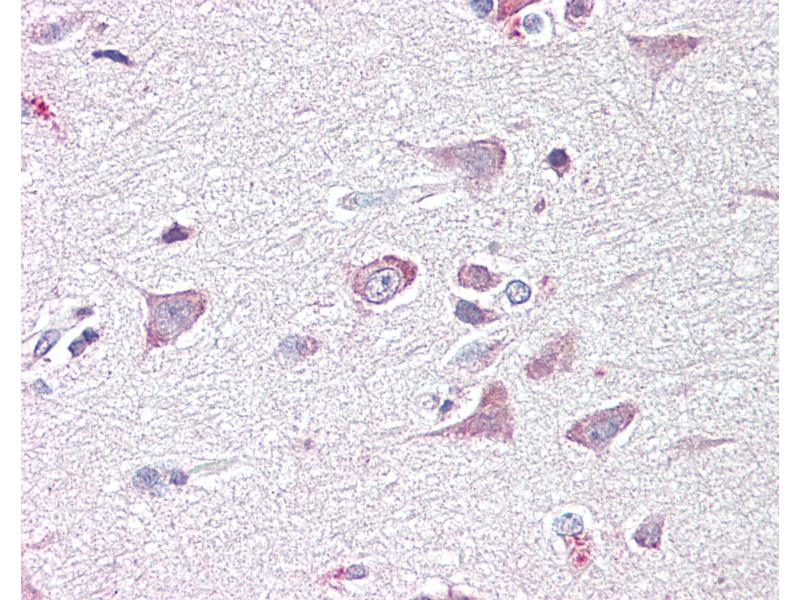
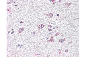
GOLGA6A 抗体 (AA 536-547)
Our Local Distributor
北京 101111
Quick Overview for GOLGA6A 抗体 (AA 536-547) (ABIN1101819)
抗原
See all GOLGA6A 抗体适用
宿主
克隆类型
标记
应用范围
-
-
抗原表位
- AA 536-547
-
特异性
- Human GOLGA6A / GOLGA6. GeneID 55889 may be a pseudogene, while GeneID 342096 is thought to encode a functional protein.
-
预测反应
- Percent identity by BLAST analysis: Human, Gorilla (100%) Gibbon (92%).
-
纯化方法
- Immunoaffinity purified
-
免疫原
-
Synthetic peptide C-DLPKEKADGTEQ from an internal region of human GOLGA6A / GOLGA6 (NP_061122.4, NP_001033729.1). Percent identity by BLAST analysis: Human, Gorilla (100%), Gibbon (92%).
Type of Immunogen: Synthetic peptide
-
-
-
-
应用备注
- Approved: IHC, IHC-P (3.75 μg/mL), Peptide-ELISA (1:1000)
-
说明
-
Target Species of Antibody: Human
-
限制
- 仅限研究用
-
-
-
状态
- Liquid
-
浓度
- Lot specific
-
缓冲液
- Tris-buffered saline, pH 7.3, 0.5 % BSA, 0.02 % sodium azide
-
储存液
- Sodium azide
-
注意事项
- This product contains Sodium azide: a POISONOUS AND HAZARDOUS SUBSTANCE which should be handled by trained staff only.
-
注意事项
- Minimize freezing and thawing.
-
储存条件
- -20 °C
-
储存方法
- Store at -20°C. Avoid freeze-thaw cycles.
-
-
- GOLGA6A (Golgin A6 Family, Member A (GOLGA6A))
-
别名
- GOLGA6A
-
背景
-
Name/Gene ID: GOLGA6A
Synonyms: GOLGA6A, GLP, Golgin linked to PML, Golgin subfamily A member 6A, Golgin-like protein, GOLGA6, Golgin A6 family, member A -
基因ID
- 342096
-
NCBI登录号
- NP_061122, NP_001033729
-
UniProt
- Q9NYA3
抗原
-