电话:
+86 (0512) 65829739
传真:
+86 (010) 6788 5057
电子邮件:
orders@antibodies-online.cn

Osteopontin 抗体 (AA 167-314)

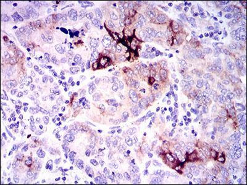
There are 2+ publications for this product available. The 小鼠 单克隆 anti-Osteopontin antibody is suitable to detect Osteopontin in samples from 人. It has been validated for IHC, ELISA 和 ICC.
产品编号 ABIN1098149
发货至: 中国
Contact our Customer Service for availability and price in your country. Contact Info

Our Local Distributor

中国
北京 101111
No. 88 KeChuang 6th Street
Beijing Economic Technological Development Area
Room 801-803
4A Biotech Co.,Ltd.
Tel +86 (0512) 65829739 传真 +86 (010) 6788 5057

Quick Overview for Osteopontin 抗体 (AA 167-314) (ABIN1098149)

抗原

See all Osteopontin (SPP1) 抗体
Osteopontin (SPP1) (Secreted phosphoprotein 1 (SPP1))

适用

  • 158
  • 74
  • 72
  • 7
  • 7
  • 6
  • 5
  • 4
  • 2
  • 2
  • 1
  • 1
  • 1
  • 1
  • 1

宿主

  • 132
  • 60
  • 4
  • 3
  • 2
  • 2
  • 2
小鼠

克隆类型

  • 122
  • 77
单克隆

标记

  • 99
  • 14
  • 14
  • 8
  • 8
  • 6
  • 3
  • 3
  • 3
  • 3
  • 3
  • 3
  • 3
  • 3
  • 3
  • 3
  • 3
  • 3
  • 3
  • 3
  • 3
  • 3
  • 3
  • 2
  • 1
  • 1
  • 1
This Osteopontin antibody is un-conjugated

应用范围

  • 160
  • 74
  • 58
  • 40
  • 39
  • 36
  • 30
  • 28
  • 24
  • 22
  • 9
  • 7
  • 4
  • 3
  • 2
  • 2
  • 2
  • 2
  • 1
  • 1
  • 1
Immunohistochemistry (IHC), ELISA, Immunocytochemistry (ICC)

克隆位点

7C5H12
  • 抗原表位

    • 15
    • 15
    • 15
    • 13
    • 11
    • 7
    • 6
    • 5
    • 5
    • 5
    • 4
    • 3
    • 3
    • 3
    • 2
    • 2
    • 2
    • 2
    • 2
    • 2
    • 2
    • 1
    • 1
    • 1
    • 1
    • 1
    • 1
    • 1
    • 1
    • 1
    • 1
    • 1
    • 1
    • 1
    AA 167-314

    原理

    SPP1 Antibody

    纯化方法

    Purified antibody

    免疫原

    Purified recombinant fragment of human SPP1 (AA: 167-314) expressed in E. Coli.

    亚型

    IgG1
  • 应用备注

    ELISA: 1/10000

    ICC: 1/200 - 1/1000

    限制

    仅限研究用
  • 状态

    Liquid

    缓冲液

    Purified antibody in PBS with 0.05 % sodium azide.

    储存液

    Sodium azide

    注意事项

    This product contains Sodium azide: a POISONOUS AND HAZARDOUS SUBSTANCE which should be handled by trained staff only.

    储存条件

    4 °C,-20 °C

    储存方法

    Store at 4°C short term. Aliquot and store at -20°C long term. Avoid freeze/thaw cycles.
  • Liersch, Gerss, Schliemann, Bayer, Schwöppe, Biermann, Appelmann, Kessler, Löwenberg, Büchner, Hiddemann, Müller-Tidow, Berdel, Mesters: "Osteopontin is a prognostic factor for survival of acute myeloid leukemia patients." in: Blood, Vol. 119, Issue 22, pp. 5215-20, (2012) (PubMed).

    Wang, Wang, Tang: "Osteopontin expression in nasopharyngeal carcinoma: its relevance to the clinical stage of the disease." in: Journal of cancer research and therapeutics, Vol. 7, Issue 2, pp. 138-42, (2011) (PubMed).

  • 抗原

    Osteopontin (SPP1) (Secreted phosphoprotein 1 (SPP1))

    别名

    SPP1

    背景

    The protein encoded by this gene is involved in the attachment of osteoclasts to the mineralized bone matrix. The encoded protein is secreted and binds hydroxyapatite with high affinity. The osteoclast vitronectin receptor is found in the cell membrane and may be involved in the binding to this protein. This protein is also a cytokine that upregulates expression of interferon-gamma and interleukin-12. Several transcript variants encoding different isoforms have been found for this gene.


    分子量

    35.4 kDa

    基因ID

    6696

    UniProt

    P10451

    途径

    Regulation of Cell Size
You are here: