电话:
+86 (0512) 65829739
传真:
+86 (010) 6788 5057
电子邮件:
orders@antibodies-online.cn

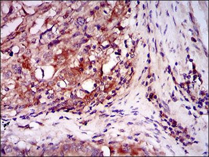
ILK 抗体 (AA 97-244)

There are 2+ publications for this product available. The 小鼠 单克隆 anti-ILK antibody is suitable to detect ILK in samples from 人, 小鼠 和 猴. It has been validated for WB, ELISA, IHC 和 FACS.
产品编号 ABIN1098122
发货至: 中国
Contact our Customer Service for availability and price in your country. Contact Info

Our Local Distributor

中国
北京 101111
No. 88 KeChuang 6th Street
Beijing Economic Technological Development Area
Room 801-803
4A Biotech Co.,Ltd.
Tel +86 (0512) 65829739 传真 +86 (010) 6788 5057

Quick Overview for ILK 抗体 (AA 97-244) (ABIN1098122)

抗原

See all ILK 抗体
ILK (Integrin-Linked Kinase (ILK))

适用

  • 124
  • 73
  • 67
  • 6
  • 1
  • 1
  • 1
  • 1
  • 1
  • 1
  • 1
人, 小鼠, 猴

宿主

  • 136
  • 5
  • 1
小鼠

克隆类型

  • 124
  • 18
单克隆

标记

  • 72
  • 7
  • 6
  • 4
  • 3
  • 3
  • 3
  • 3
  • 3
  • 3
  • 3
  • 3
  • 3
  • 3
  • 3
  • 3
  • 3
  • 3
  • 3
  • 3
  • 3
  • 1
  • 1
This ILK antibody is un-conjugated

应用范围

  • 108
  • 49
  • 40
  • 39
  • 39
  • 20
  • 16
  • 16
  • 15
  • 13
  • 9
  • 7
  • 6
  • 3
  • 1
  • 1
Western Blotting (WB), ELISA, Immunohistochemistry (IHC), Flow Cytometry (FACS)

克隆位点

3A9
  • 抗原表位

    • 26
    • 19
    • 15
    • 11
    • 6
    • 5
    • 4
    • 4
    • 4
    • 2
    • 2
    • 2
    • 2
    • 2
    • 2
    • 2
    • 2
    • 2
    • 2
    • 2
    • 2
    • 1
    • 1
    • 1
    • 1
    • 1
    • 1
    • 1
    • 1
    AA 97-244

    原理

    ILK Antibody

    纯化方法

    Ascitic fluid

    免疫原

    Purified recombinant fragment of human ILK (AA: 97-244) expressed in E. Coli.

    亚型

    IgG1
  • 应用备注

    ELISA: 1/10000

    FCM: 1/200 - 1/400

    限制

    仅限研究用
  • 状态

    Liquid

    缓冲液

    Ascitic fluid containing 0.03 % sodium azide.

    储存液

    Sodium azide

    注意事项

    This product contains Sodium azide: a POISONOUS AND HAZARDOUS SUBSTANCE which should be handled by trained staff only.

    储存条件

    4 °C,-20 °C

    储存方法

    Store at 4°C short term. Aliquot and store at -20°C long term. Avoid freeze/thaw cycles.
  • Taylor, Qiao, Colon, Schlegel, Josifi, Chung: "Integrin-linked kinase regulates phosphatase and tensin homologue activity to promote tumorigenesis in neuroblastoma cells." in: Surgery, Vol. 150, Issue 2, pp. 162-8, (2011) (PubMed).

    Matsui, Assi, Ogawa, Raven, Dedhar, Gleave, Salh, So: "The importance of integrin-linked kinase in the regulation of bladder cancer invasion." in: International journal of cancer. Journal international du cancer, Vol. 130, Issue 3, pp. 521-31, (2011) (PubMed).

  • 抗原

    ILK (Integrin-Linked Kinase (ILK))

    别名

    ILK

    背景

    Transduction of extracellular matrix signals through integrins influences intracellular and extracellular functions, and appears to require interaction of integrin cytoplasmic domains with cellular proteins. Integrin-linked kinase (ILK), interacts with the cytoplasmic domain of beta-1 integrin. This gene encodes a serine/threonine protein kinase with 4 ankyrin-like repeats, which associates with the cytoplasmic domain of beta integrins and acts as a proximal receptor kinase regulating integrin-mediated signal transduction. Multiple alternatively spliced transcript variants encoding the same protein have been found for this gene.

    分子量

    51.4 kDa

    基因ID

    3611

    UniProt

    Q13418

    途径

    Regulation of Muscle Cell Differentiation, Regulation of Cell Size, Maintenance of Protein Location, Skeletal Muscle Fiber Development, Smooth Muscle Cell Migration
You are here: